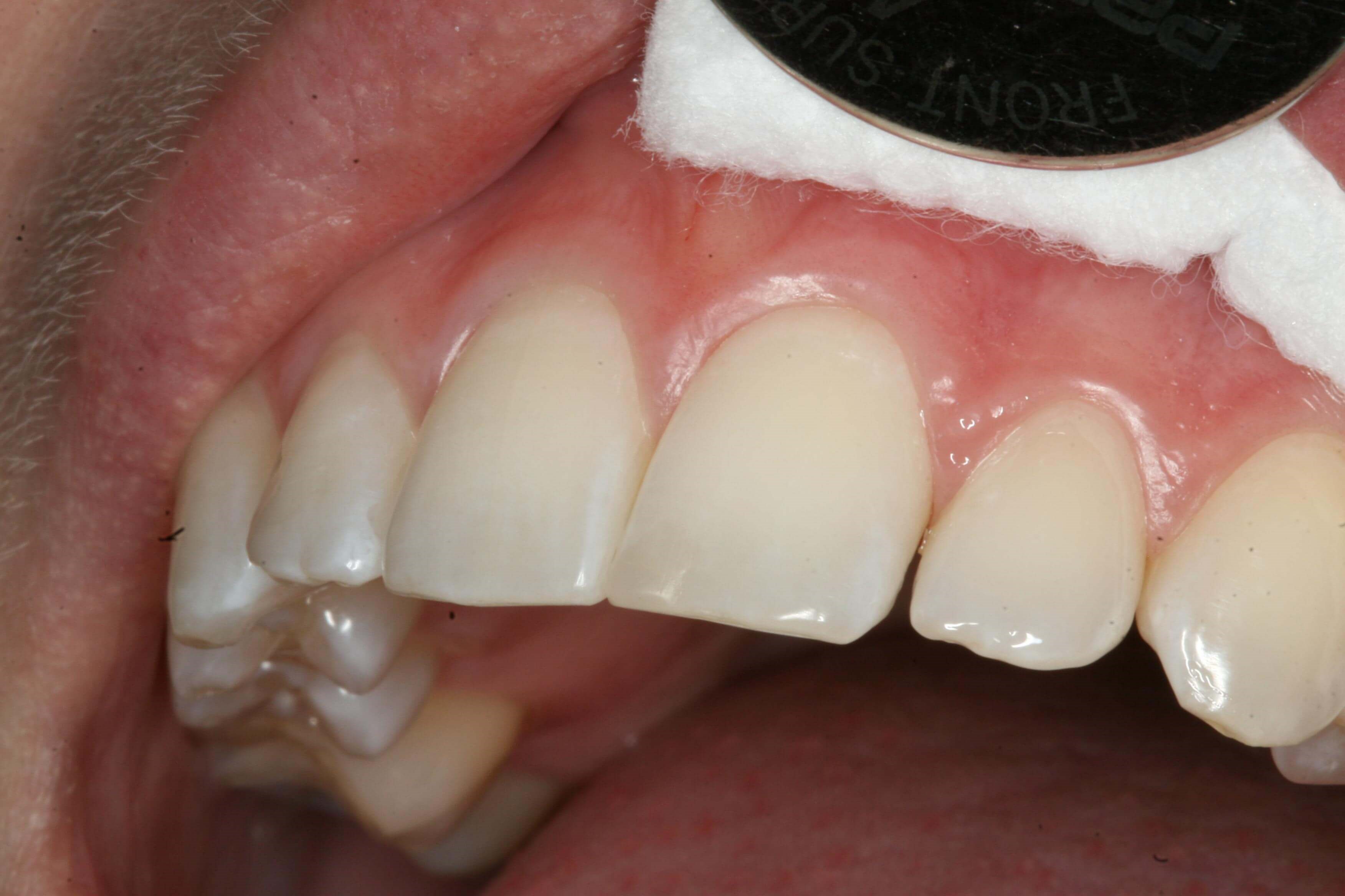
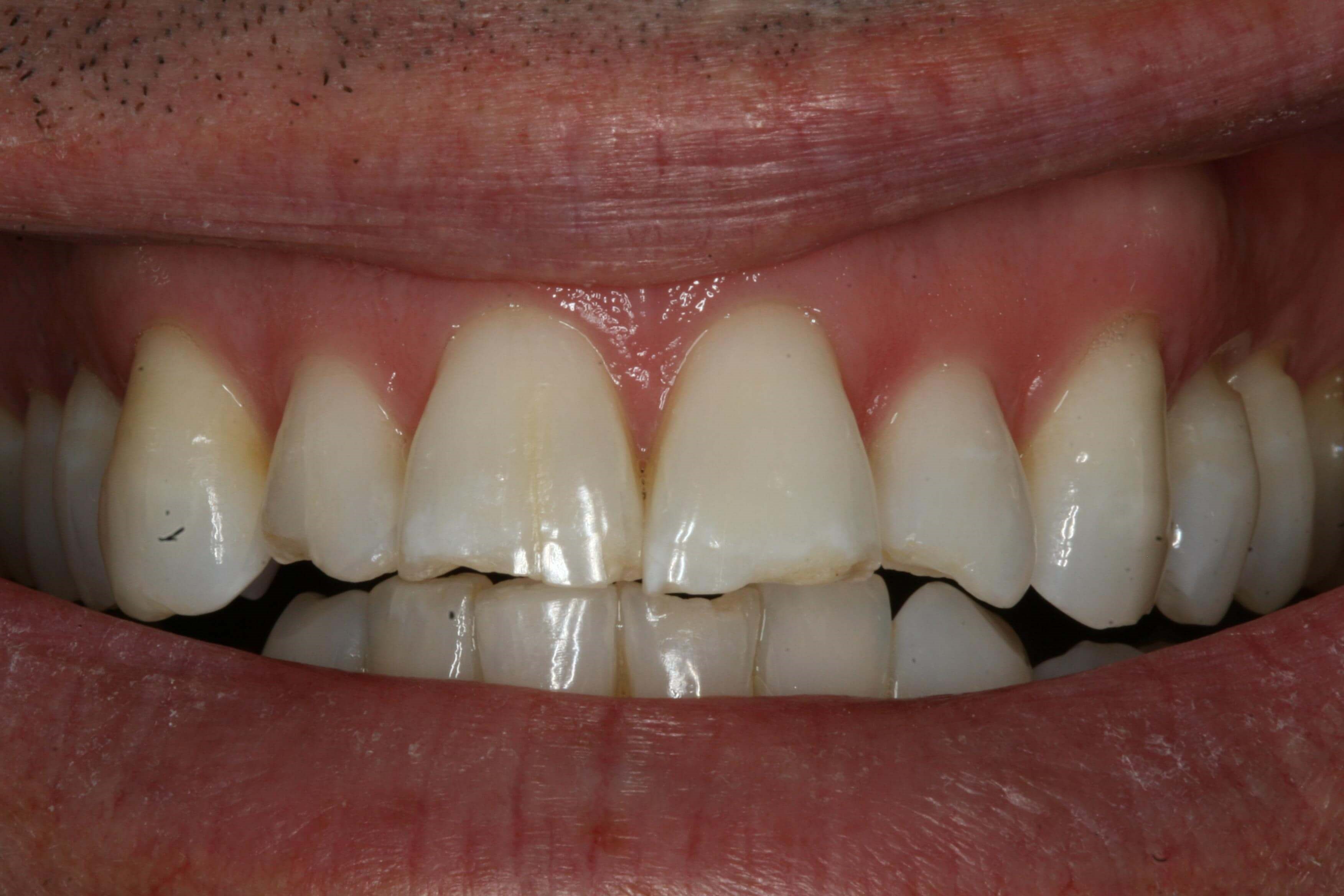
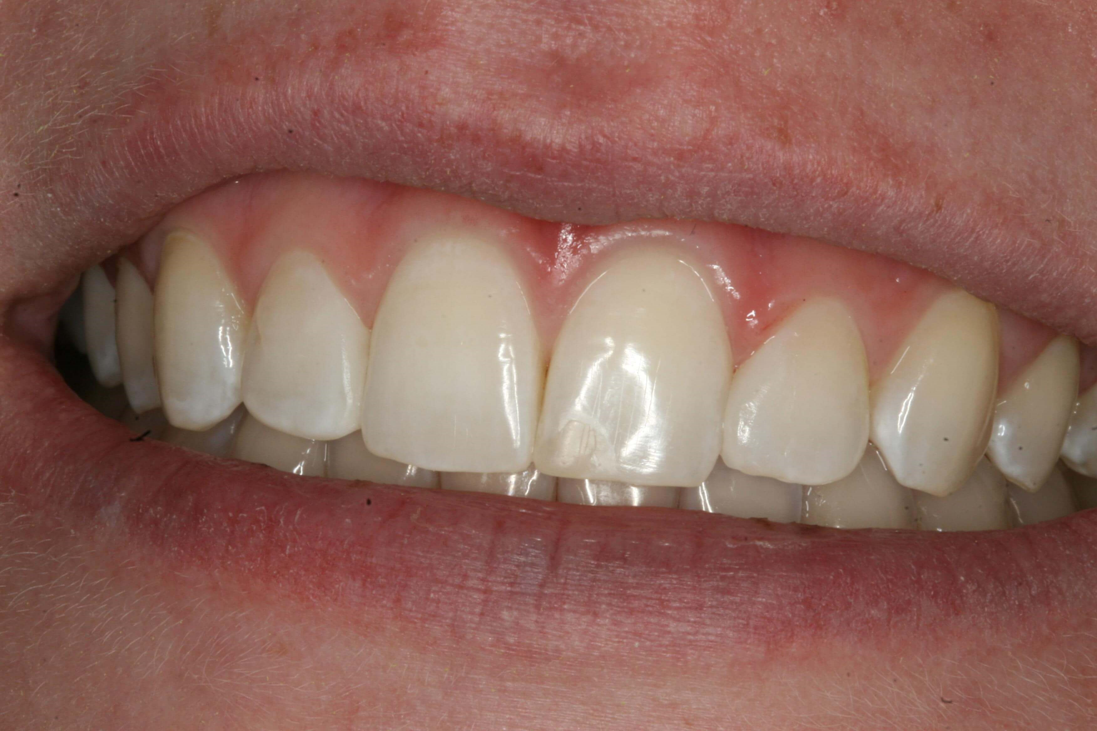
PHOTO GALLERIES
All Service Photos for Adhesive Dentistry Patients
*Individual results are not guaranteed and may vary from person to person. Images may contain models.
*Individual results are not guaranteed and may vary from person to person. Images may contain models.