Smile Makeover With Needed Orthodontics
Procedure
- Dental Examination
- Dental Crowns
- Dental Caps
- Caps
- Cosmetic
- Porcelain Crowns
- Smile Makeover
- Bruxism
- Decay
- Cosmetic Dentistry.com
- All Porcelain Crown
- All Ceramic Crowns
- Decay Removal
- Porcelain Dental Crowns
- Porcelain caps
- Dental Examination
- Dental X-Rays
- Dentist in Traverse City
- Cosmetic Dentistry
- Occlusal Therapy
- Dental Crowns
- Cosmetic Dentistry
- Painless Dentistry in Traverse
- Traverse City Cosmetic Dentist
- Traverse City Smile Makeover
- Traverse City Dentist
- Dentist in Traverse City
- Cosmetic Dentist Traverse City
- Dentist Traverse City
- Adhesive Dentistry
- Orthodontics
- Worn Teeth
- Worn Bite
- Grinding Teeth
- Stained Teeth
- Discolored Teeth
Procedure Details
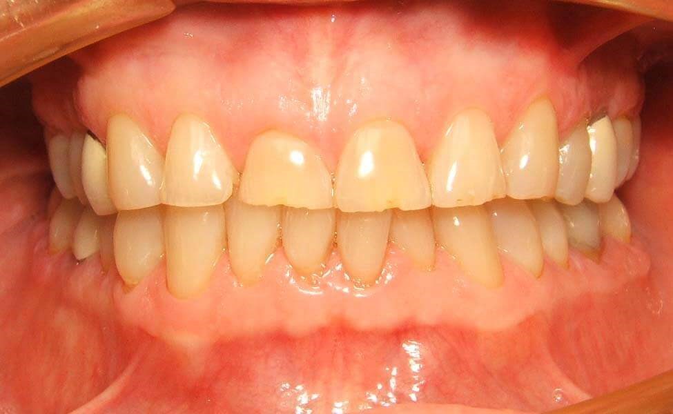
Severely Worn Teeth
This patient presented with severely worn teeth on top and bottom. Years of grinding (Bruxism) had destroyed the enamel on most of his top teeth and compromised the longevity of his teeth. Teeth should always be "age appropriate". The permanent teeth erupt into our mouths starting at around age 6 and the process is typically completed by age 13 or older. When the teeth are in good harmony with the bite and muscles and joint, the wear is minimal and the teeth should look younger than us chronologically. This Traverse City Dentist is going to check your teeth for wear and talk to you about the ramifications of excessive wear if it is discovered on the initial exam in our office. Many dentists ignore wear or do not address it as they are not trained in the ability to repair it. Many patients come to me with severe wear and not realized how compromised their teeth are as the old dentist never addressed it.
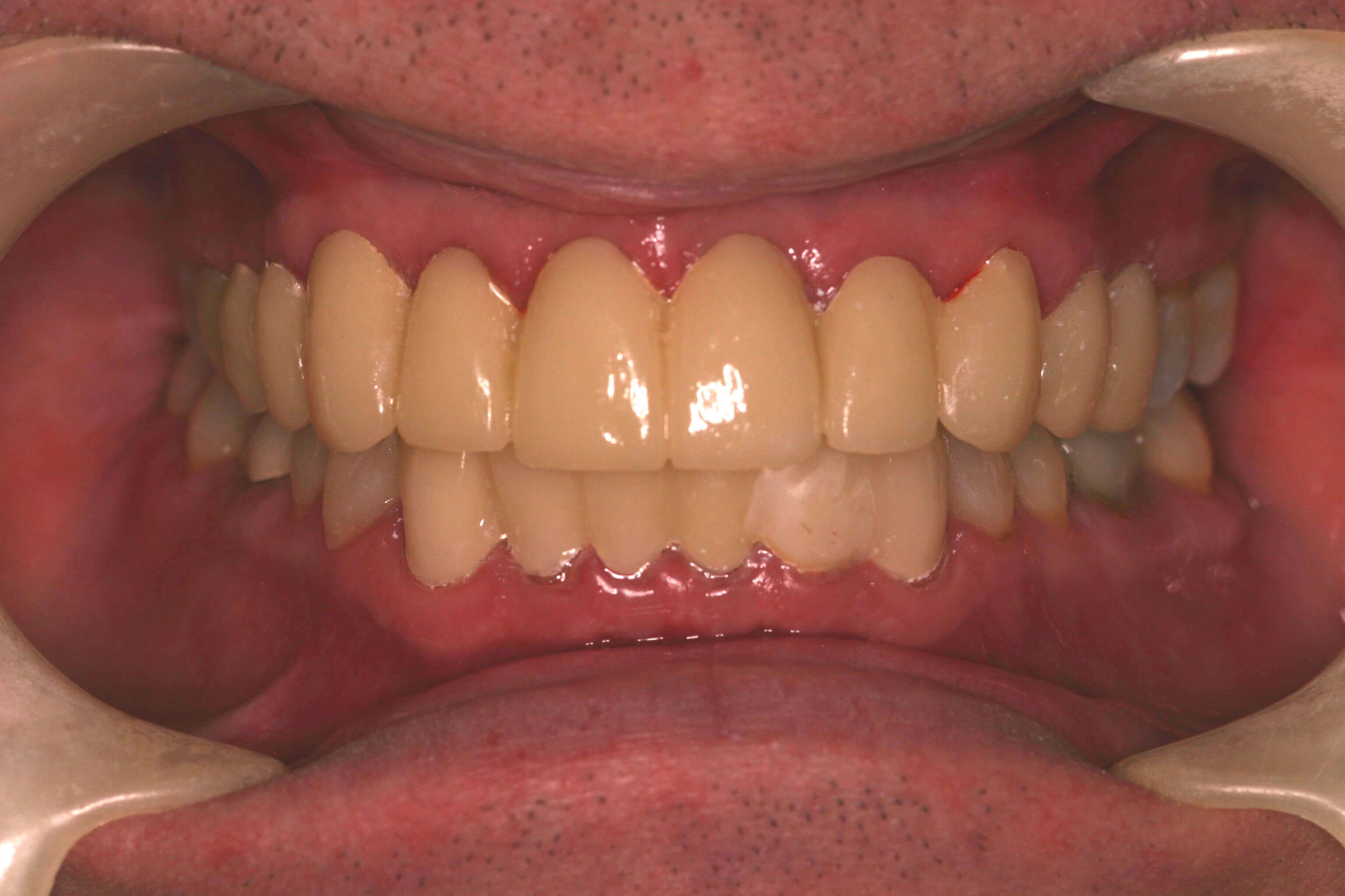
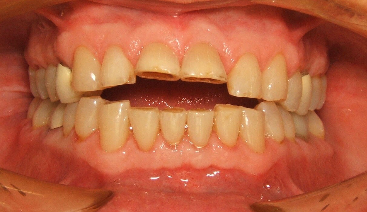
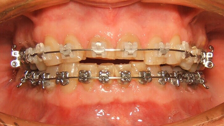
When we started the consultation for this case, the patient did not want to crown every tooth to open the bite to compensate for the short teeth. It was suggested that orthodontic braces be used to move the front teeth back into the position that the occupied prior to the severe wear. When teeth wear, they hyper-erupt (move) so that they maintain contact with the opposing teeth. The gap made by the orthodontist (William Northway, D.D.S., M.S.) was accomplished in approximately one year of treatment. Once the braces were removed, the restorations could be completed and the case finished.
The case had a diagnostic wax-up done by the laboratory (D.H. Baker) and this wax-up was used to make the provisional (temporary) teeth.
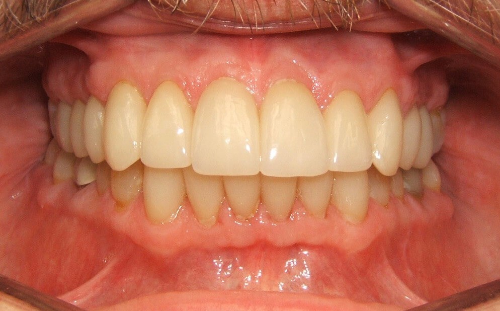
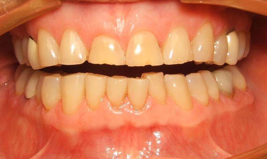
The teeth were all prepared under local anesthetic in one day and the provisional teeth were carefully fabricated. The patient was able then to "try on" the permanent restorations as they closely mimicked the final crowns. The final restorations were then fabricated and cemented to get the final result shown in the pictures. Happy patient with a more youthful, vibrant smile!
Location
Popular Searches
* All information subject to change. Images may contain models. Individual results are not guaranteed and may vary.

