Smile Makeover
Procedure
- Dental Crowns
- Dental Caps
- Caps
- Cosmetic
- Porcelain Crowns
- Smile Makeover
- Cosmetic Dentistry.com
- All Porcelain Crown
- All Ceramic Crowns
- Porcelain Dental Crowns
- Porcelain caps
- Dentist in Traverse City
- Cosmetic Dentistry
- Dental Crowns
- Cosmetic Dentistry
- Painless Dentistry in Traverse
- Traverse City Cosmetic Dentist
- Traverse City Smile Makeover
- Traverse City Dentist
- Dentist in Traverse City
- Cosmetic Dentist Traverse City
- Dentist Traverse City
Procedure Details
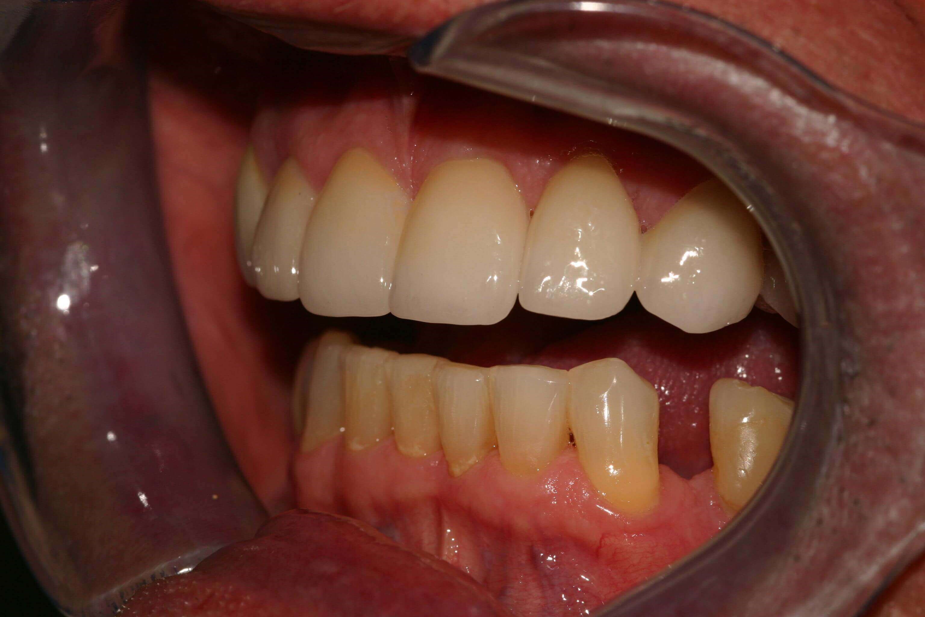
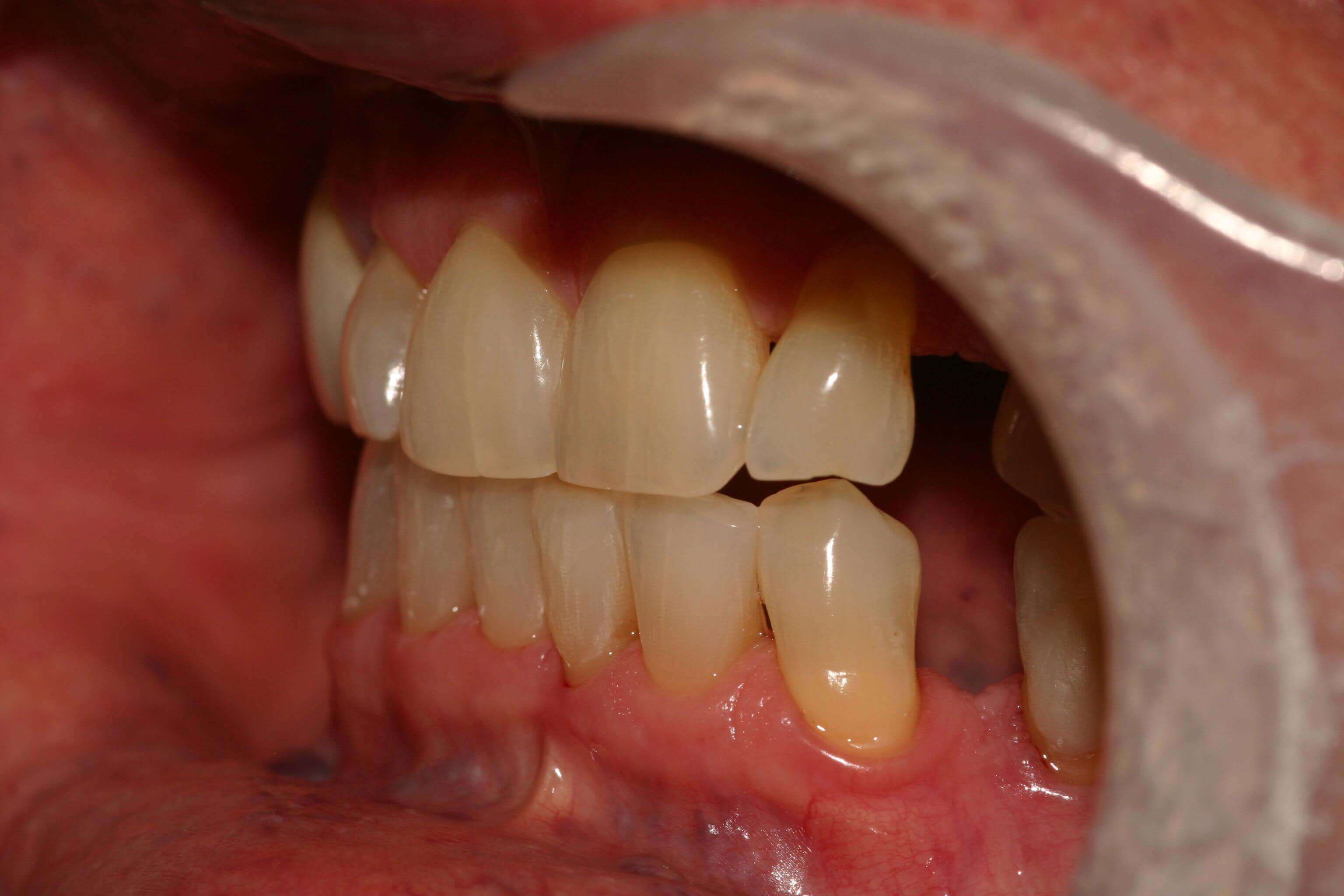
Smile Makeover
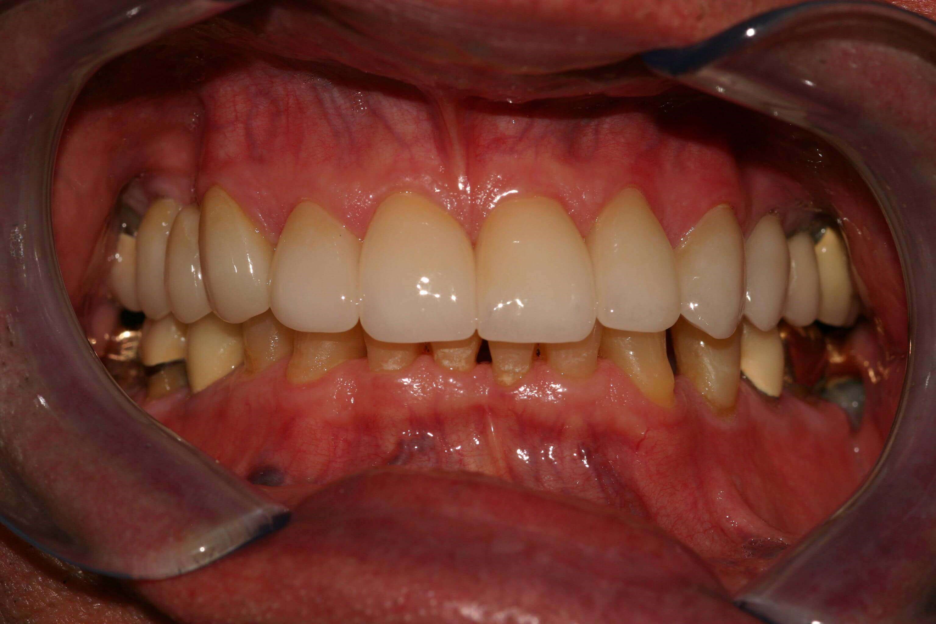
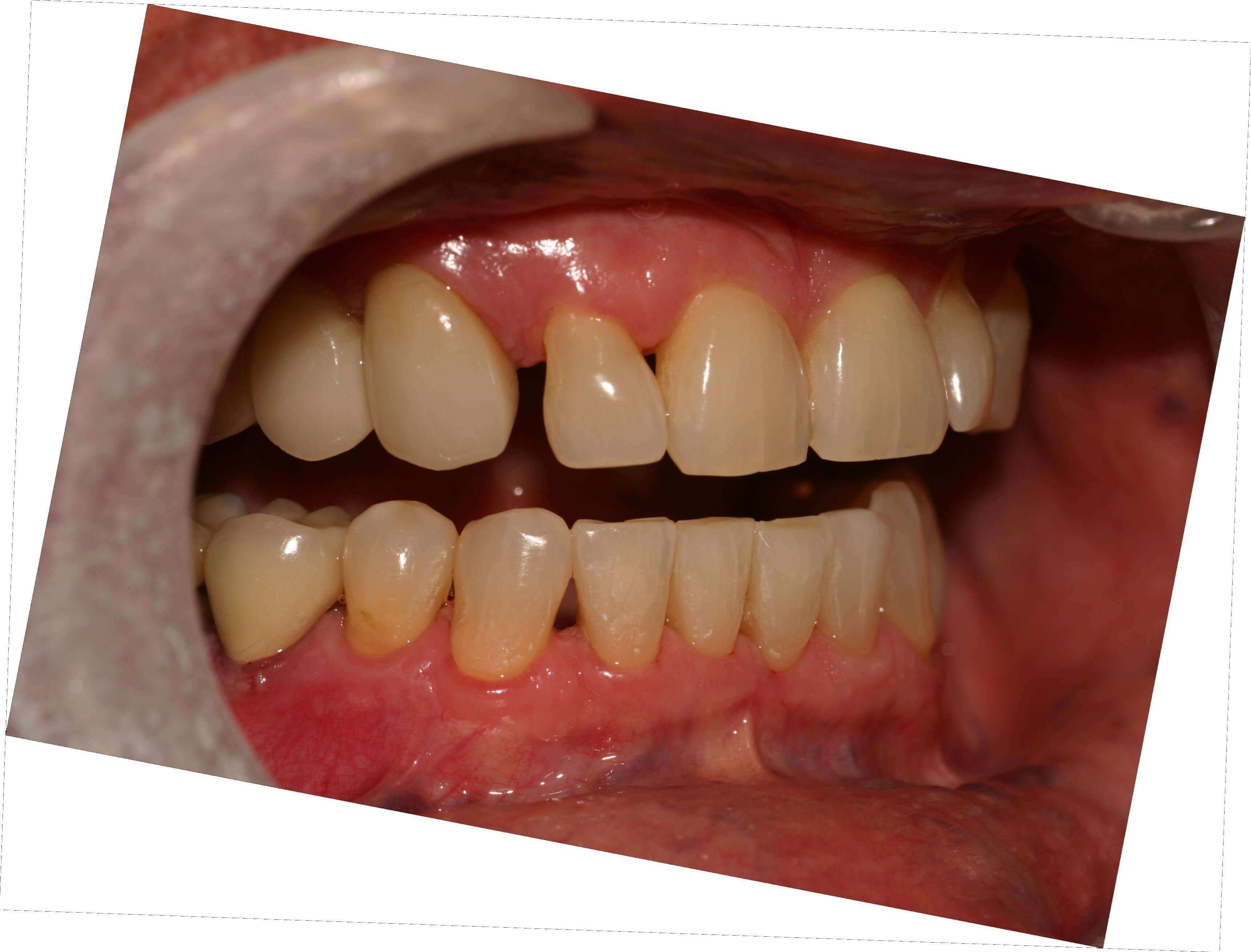
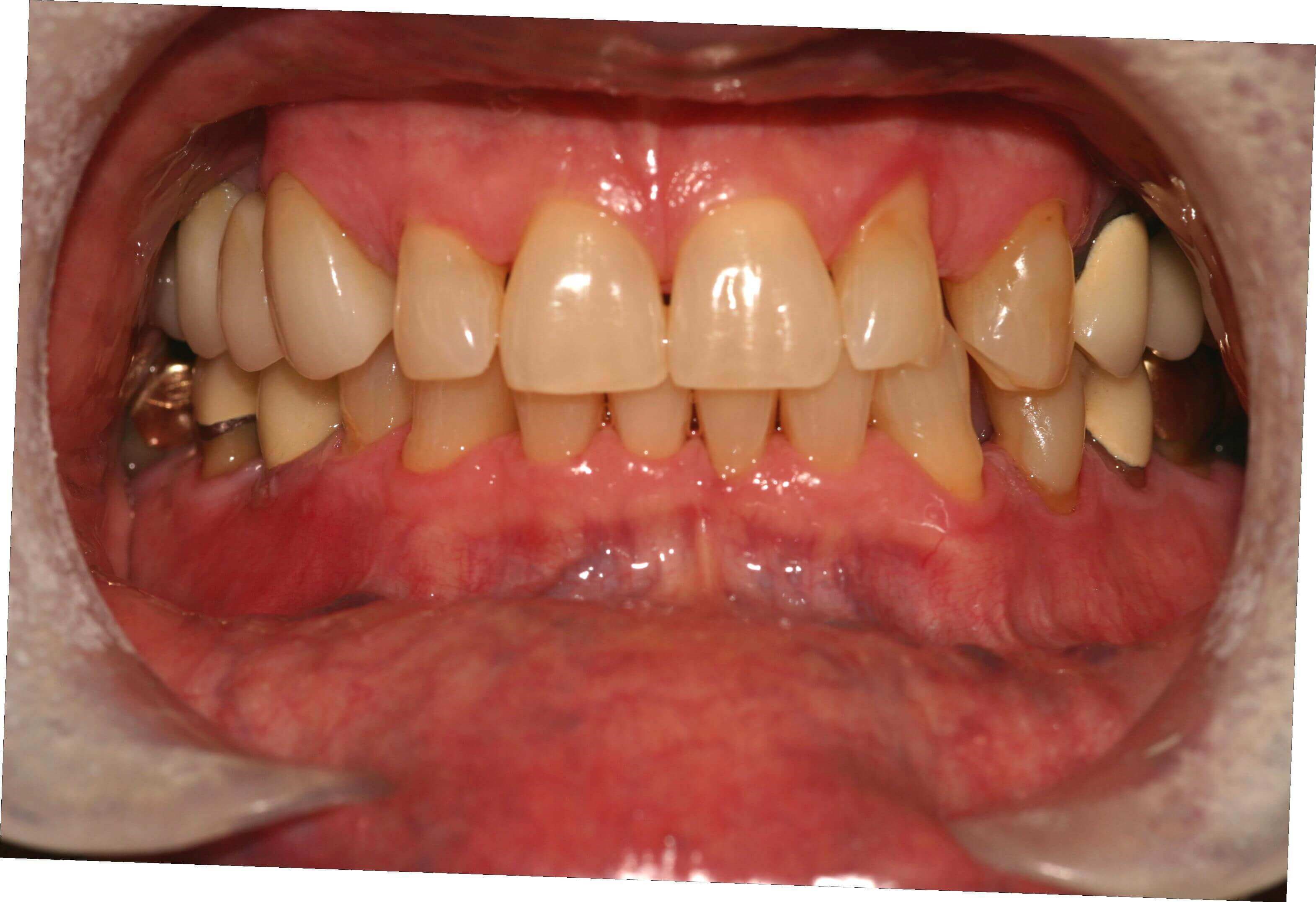
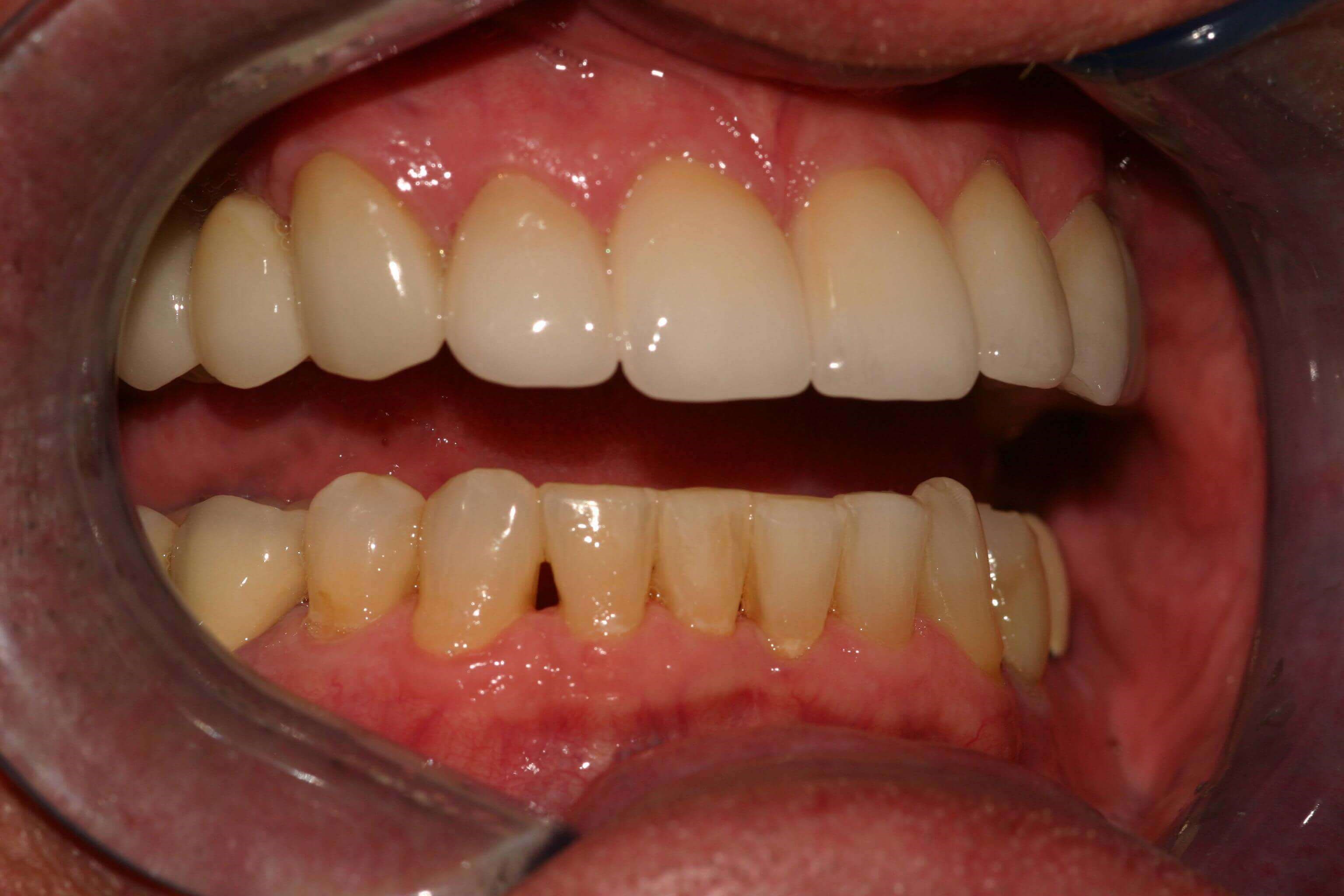
This patient requests a more youthful, brighter smile. After consultation and going over options, he chose to crown the front top teeth with all porcelain crowns in this Traverse City Dental Office. The patient presented with worn, discolored, uneven teeth that were not age appropriate. Teeth should be at least 6 years younger than the patient's cronological age. By restoring the teeth to a more youthful appearance, the patient was able to take several years off of his smile.
The teeth were waxed up by the dental laboratory pre-operatively to the desired shape and size. This model was used to make the provisional restorations that the patient wore and approved of before the final crowns were made. It is improtant that the patient loves the provisional restorations as the final crowns will closely resemble the temporaries.
The preparations were made painlessly in one day, provisonals placed and the case sent to the laboratory for the final all porcelain crowns to be make. The cosmetics and phonetics were approved of the next day after all anesthesia had worn off and impressions of the provisional teeth were made and sent to the laboratory for duplication. The process takes two weeks and then the final restorations are placed permanently. He was very happy with the result.
Location
Popular Searches
* All information subject to change. Images may contain models. Individual results are not guaranteed and may vary.

