Complete Smile/Dental Makeover
Procedure
- Dental Crowns
- Dental Caps
- Caps
- Cosmetic
- Porcelain Crowns
- Smile Makeover
- Smile Makeover
- Decay
- Cosmetic Dentistry.com
- All Porcelain Crown
- All Ceramic Crowns
- Porcelain Dental Crowns
- Porcelain caps
- Dental Crowns
- Cosmetic Dentistry
- Dentist in Traverse City
- Cosmetic Dentistry
- Occlusal Therapy
- Painless Dentistry in Traverse
- Traverse City Cosmetic Dentist
- Traverse City Smile Makeover
- Traverse City Dentist
- Dentist in Traverse City
- Cosmetic Dentist Traverse City
- Dentist Traverse City
- Teeth Whitening
Procedure Details
Smile and Dental Makeover
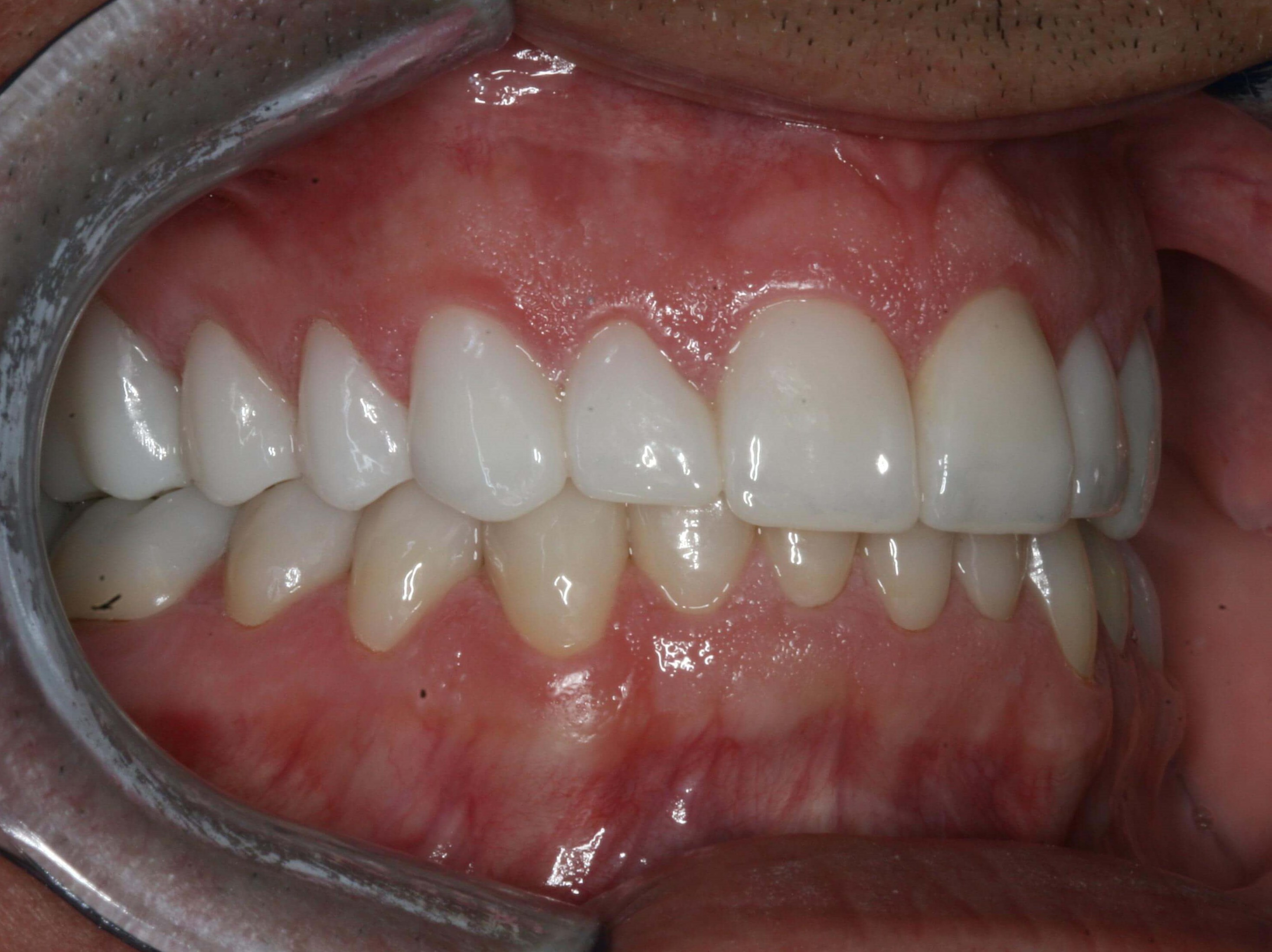
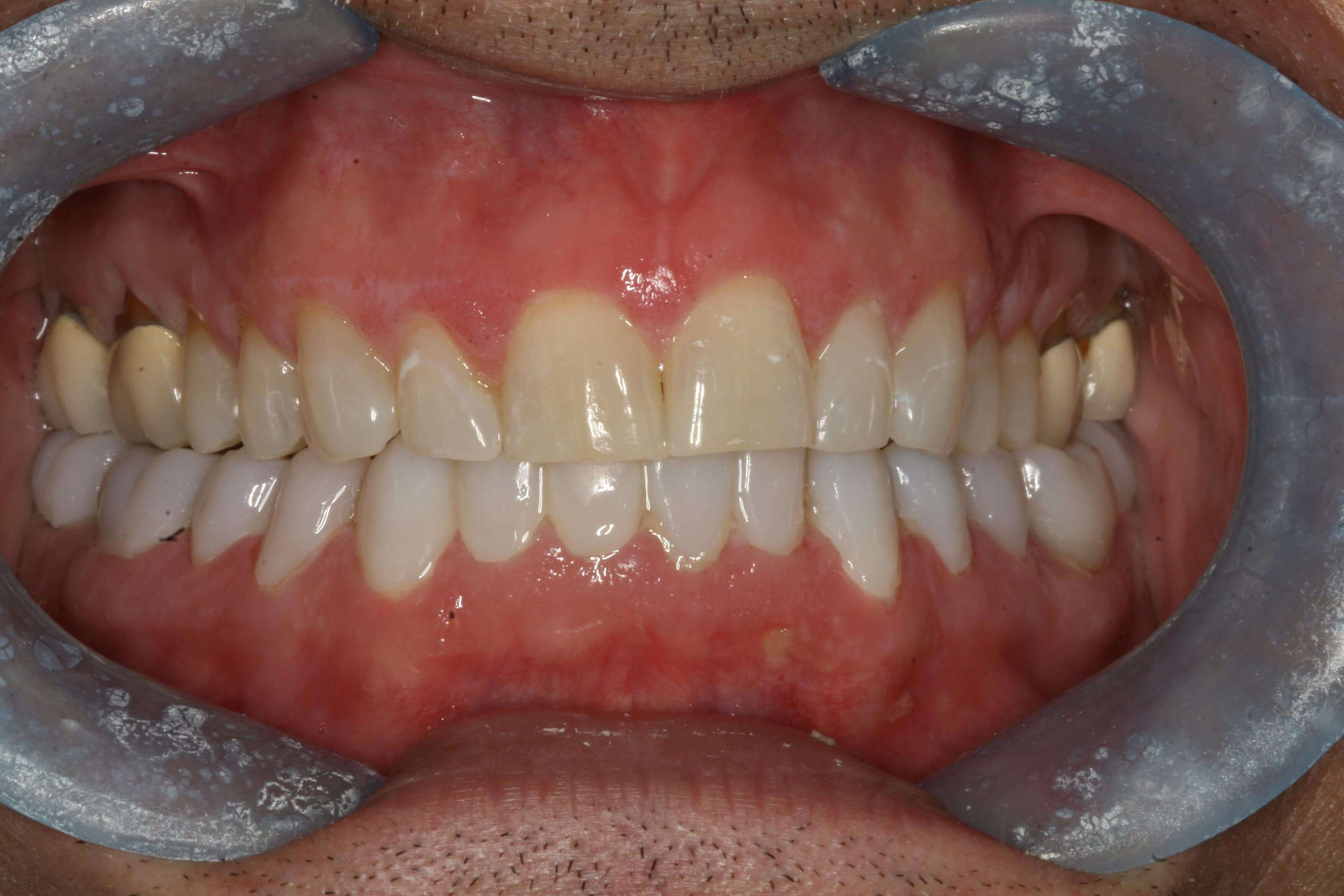
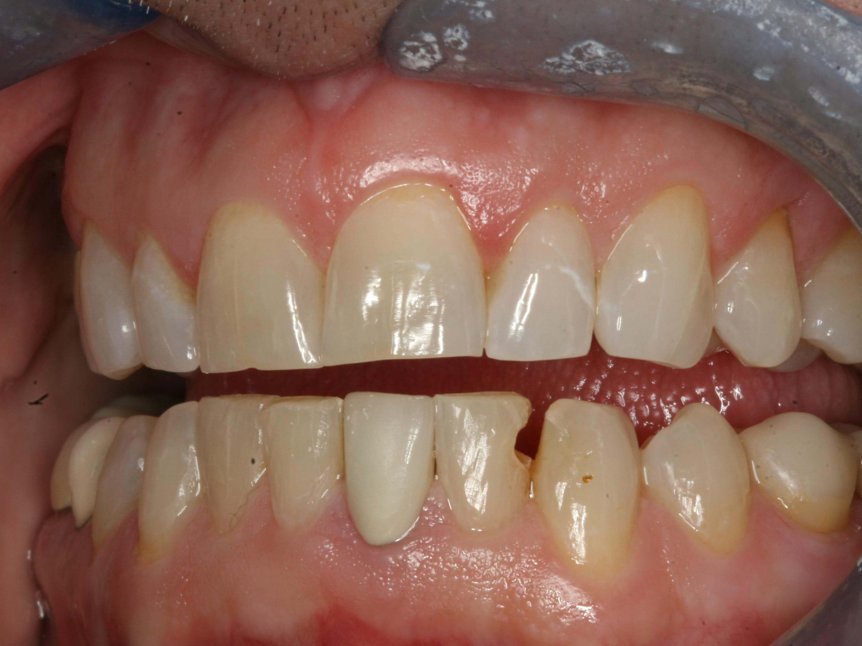
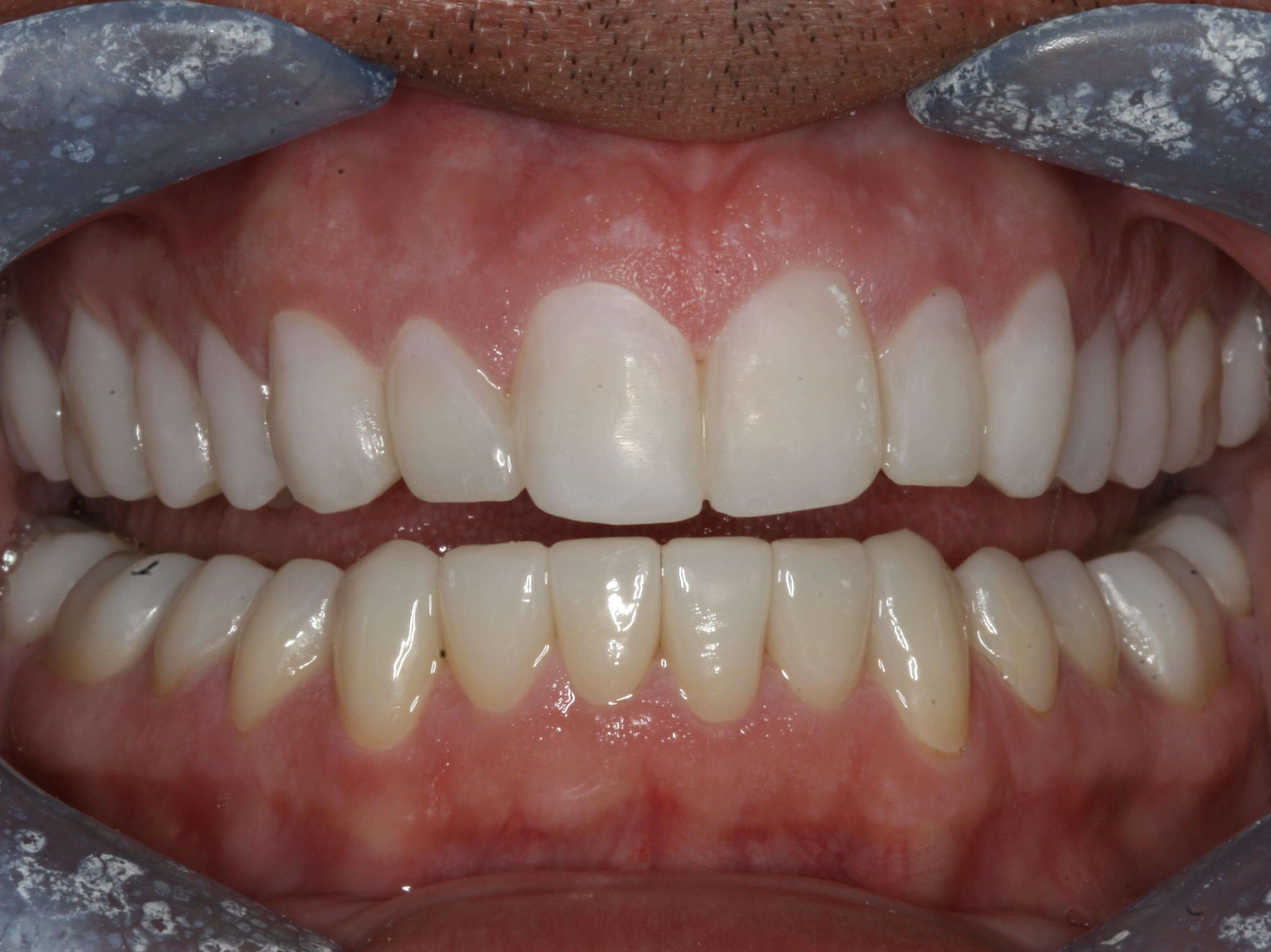
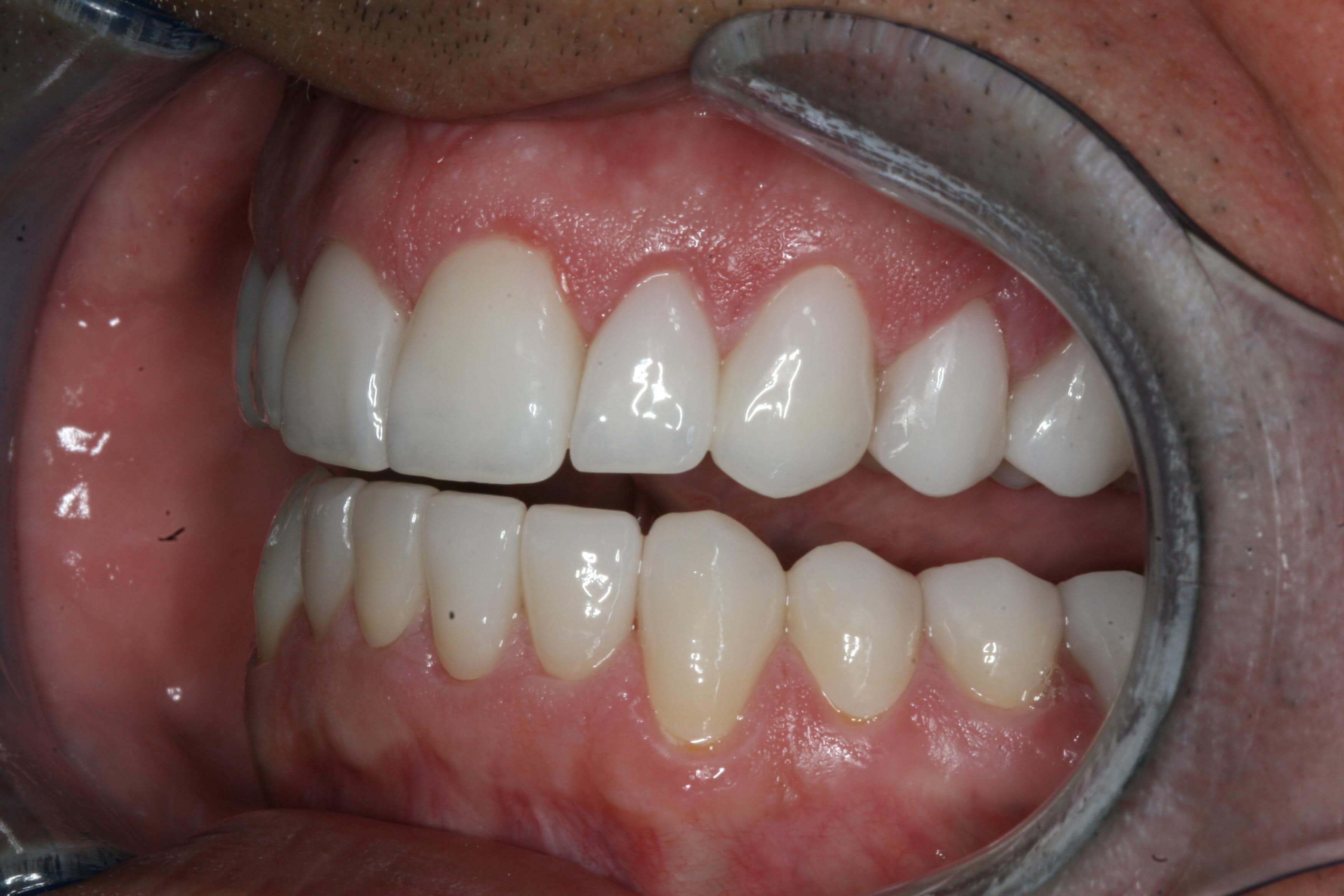
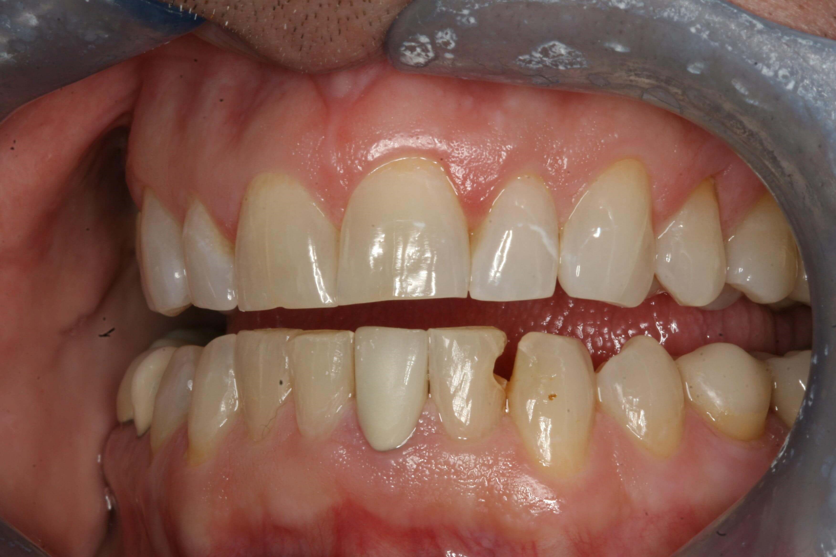
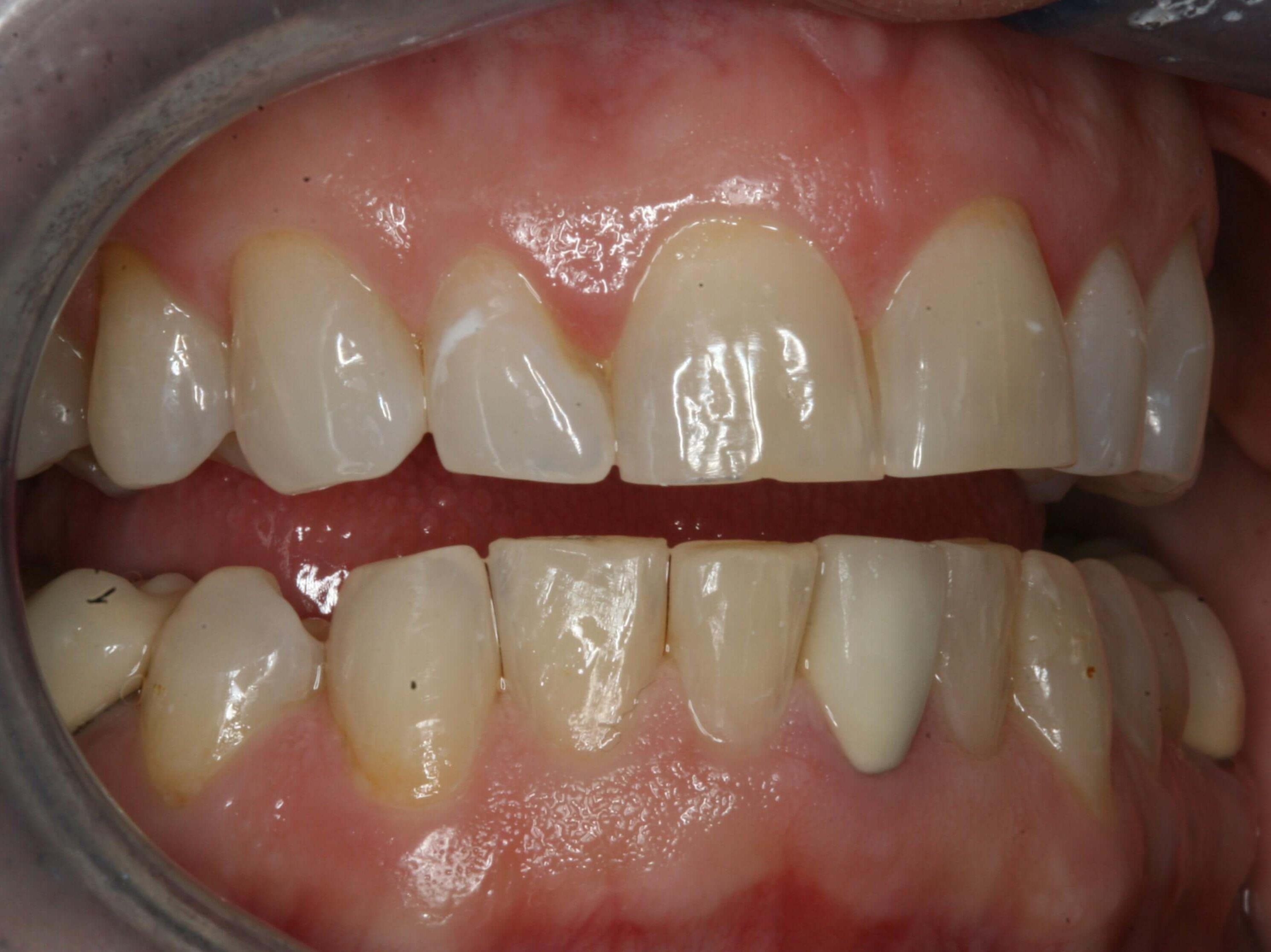
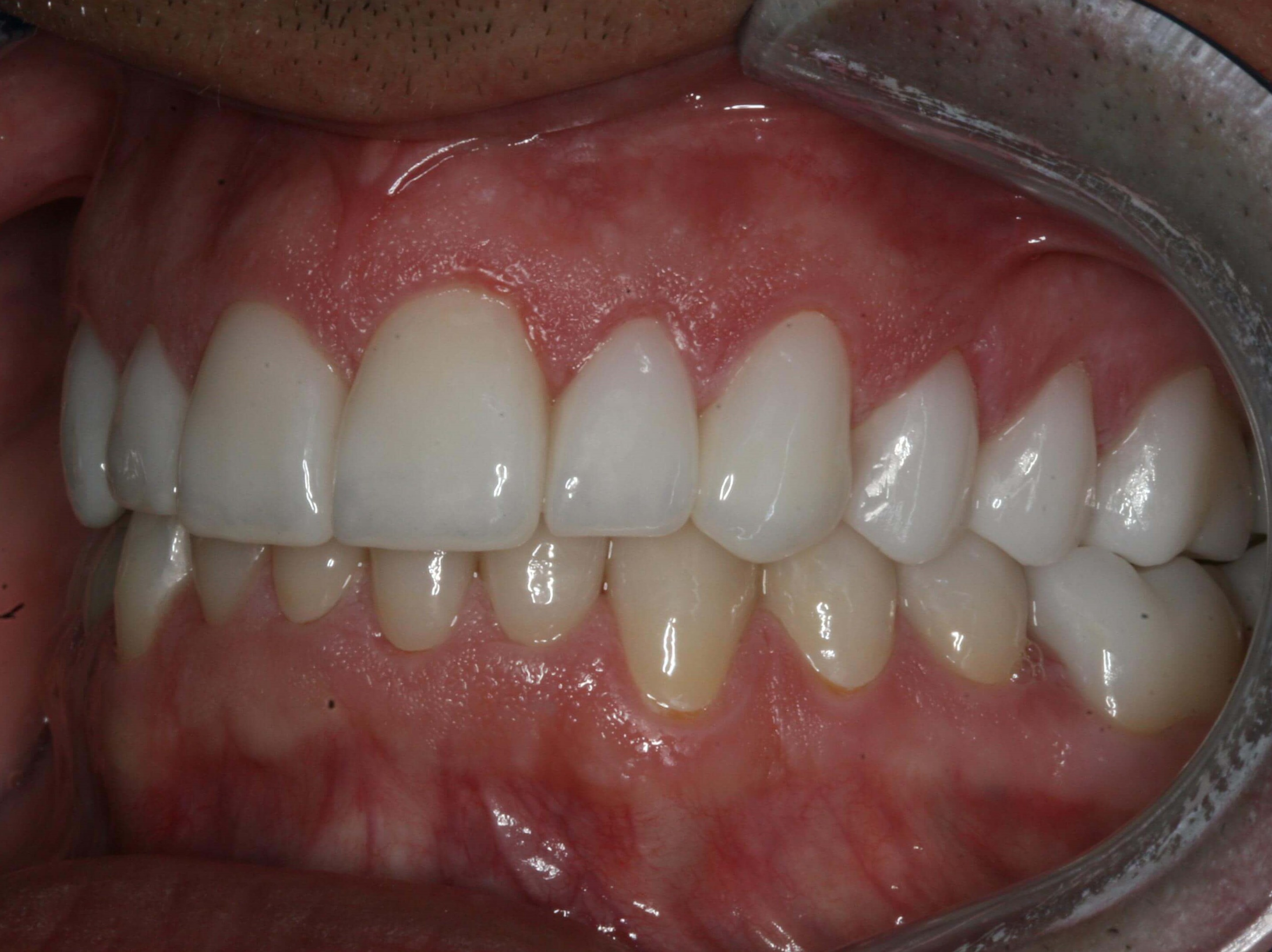
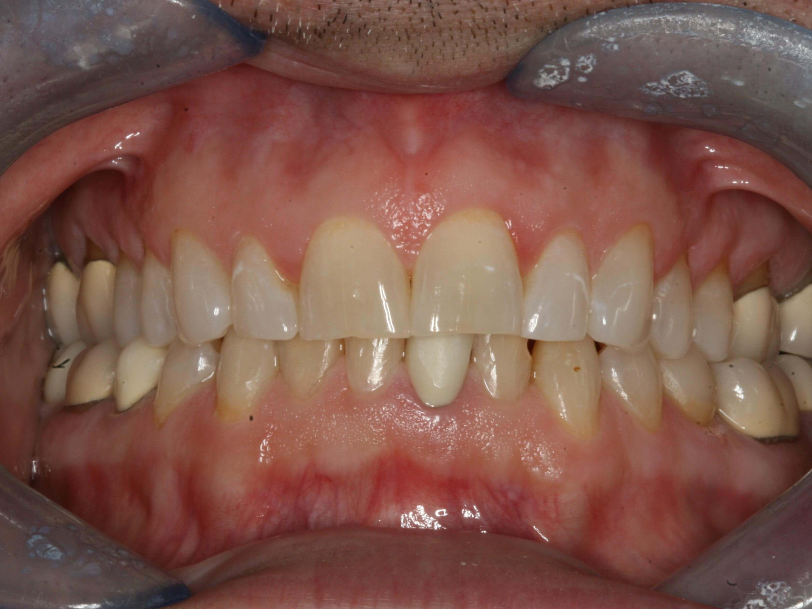
This patient was looking for a new look. His existing dentition was worn and discolored. He was unhappy with a lower tooth crown that did not fit in with the others and had an obvious missing filling on the lower as well. Upon initial examination in our Traverse City, Michigan office, we discussed his case after a complete examination.
It was discovered that there were several old crowns that did not fit well and had decay around the edges where they connected to the tooth. When discussing the details of this case with the patient, the excessive wear of his upper teeth was discussed and he wished to improve the longevity of his teeth. He felt that his teeth did not look as youthful as he would like them to look. Teeth that are severely worn can be unstable enough that it causes the entire dentition to fail and the patient has to go into dentures. This patient wanted to avoid dentures and keep all of the teeth that he could. Since there were several crowns already needing replacement, he decided to rebuild his entire mouth and get the smile he had always wanted. The decision was made to do the restoration in two phases.
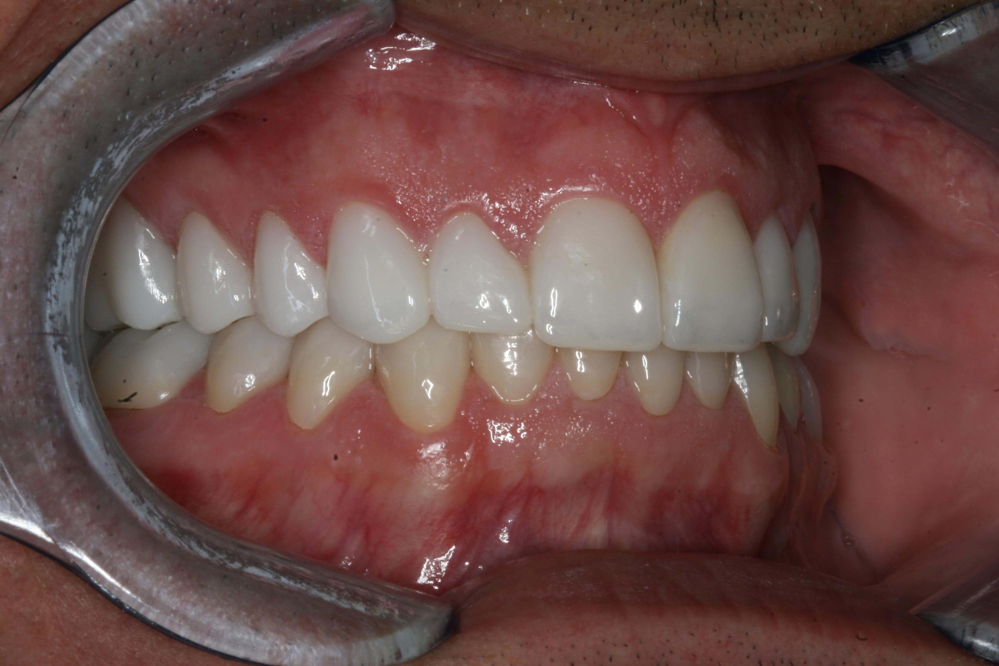
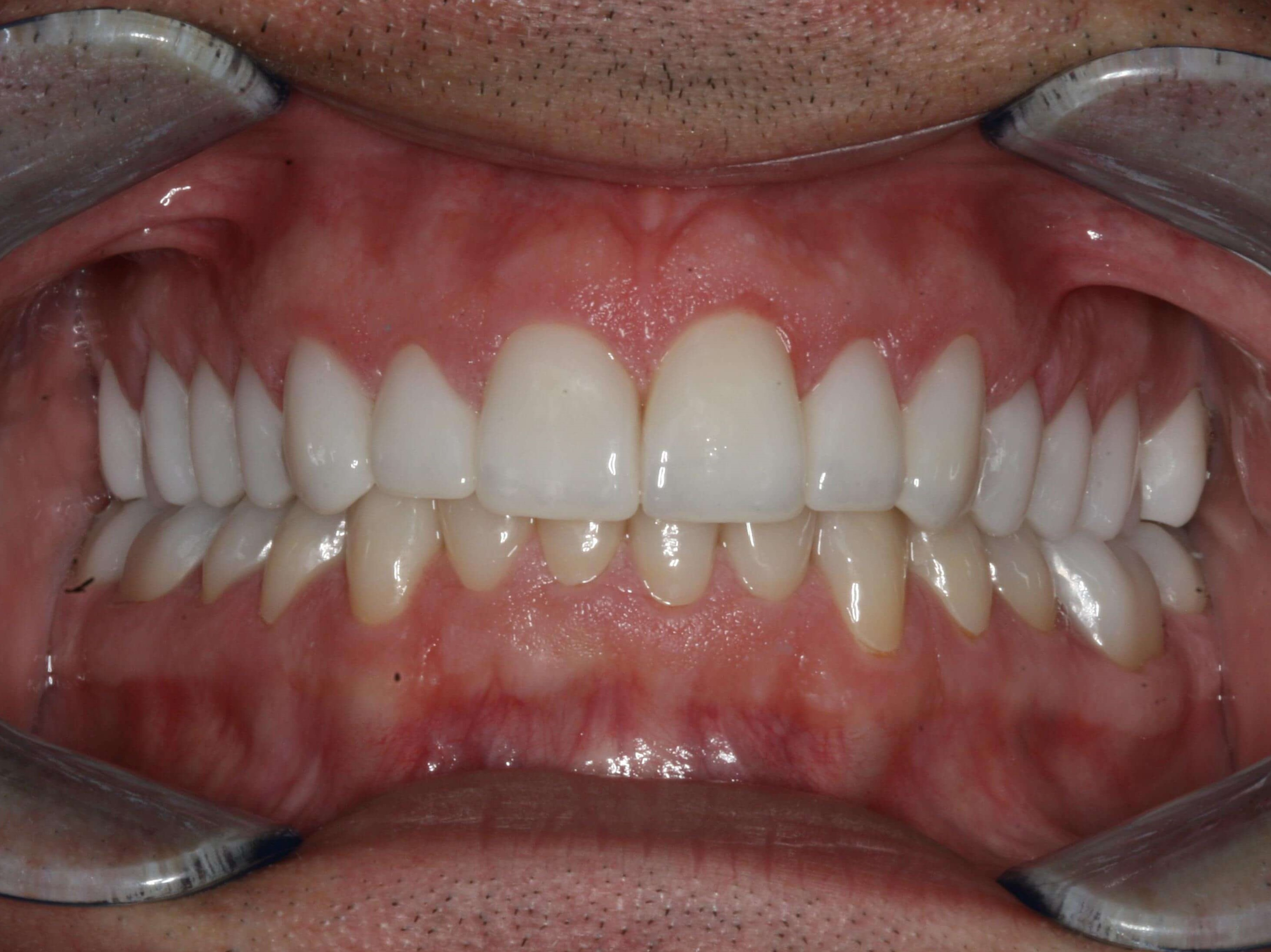
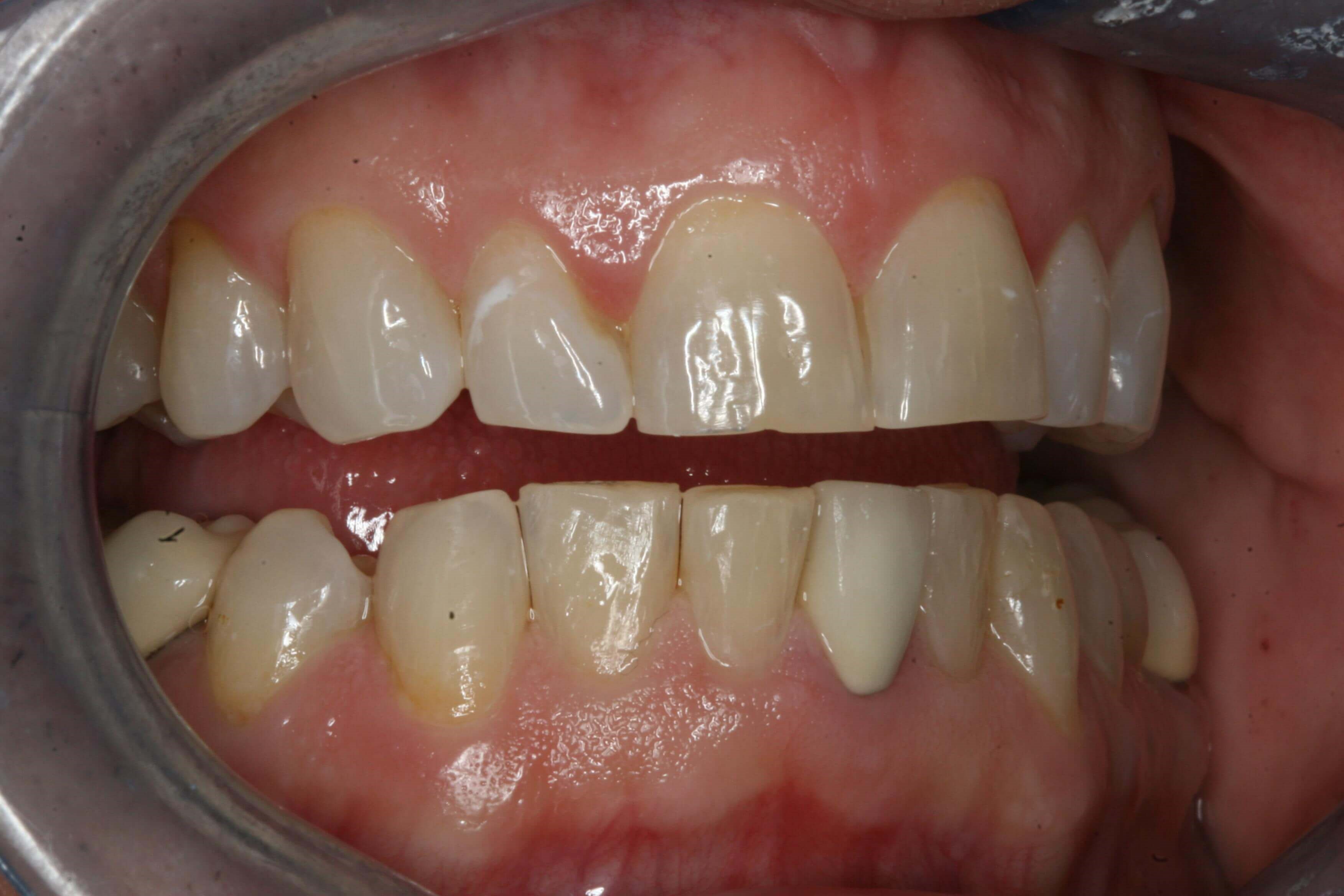
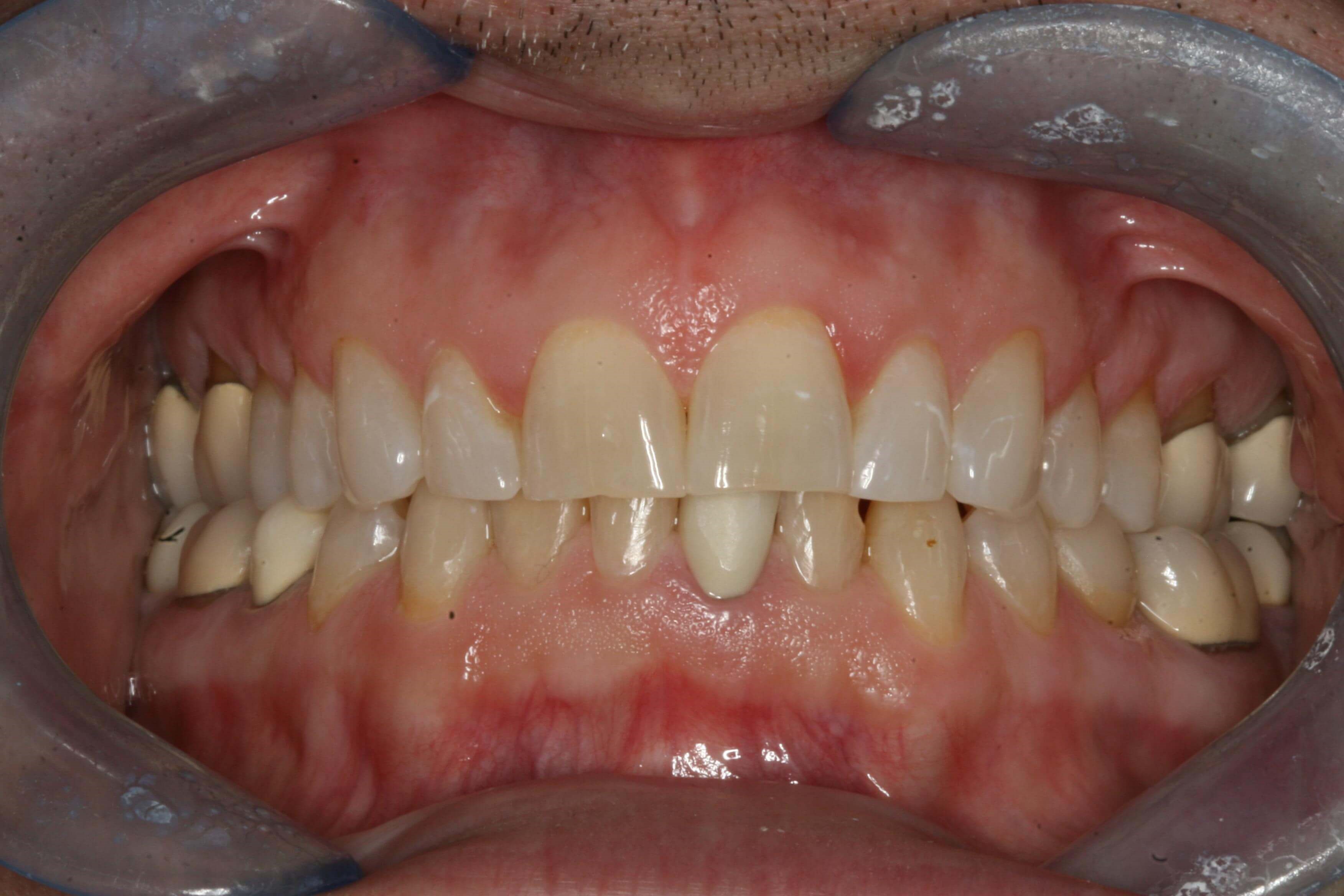
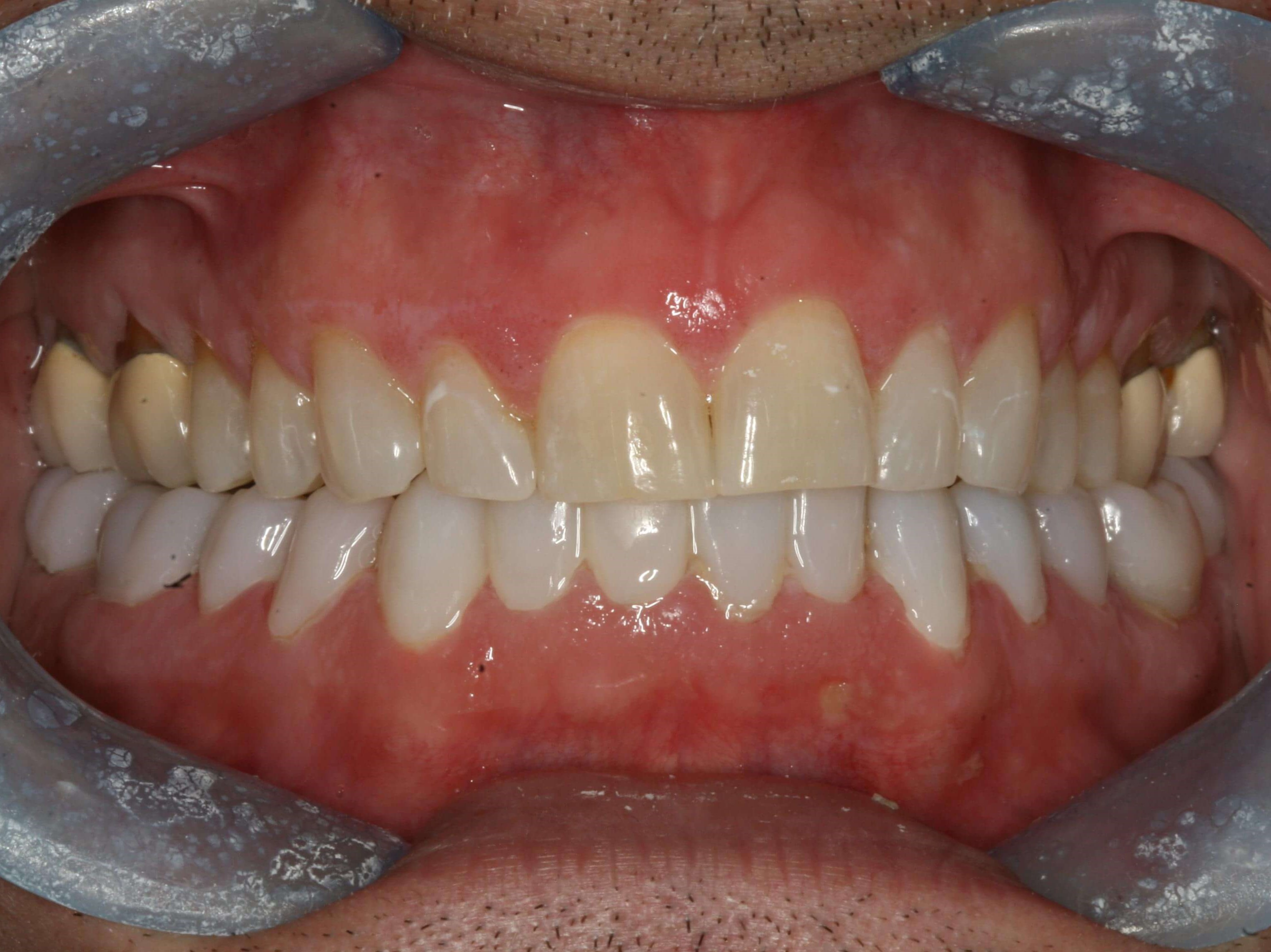
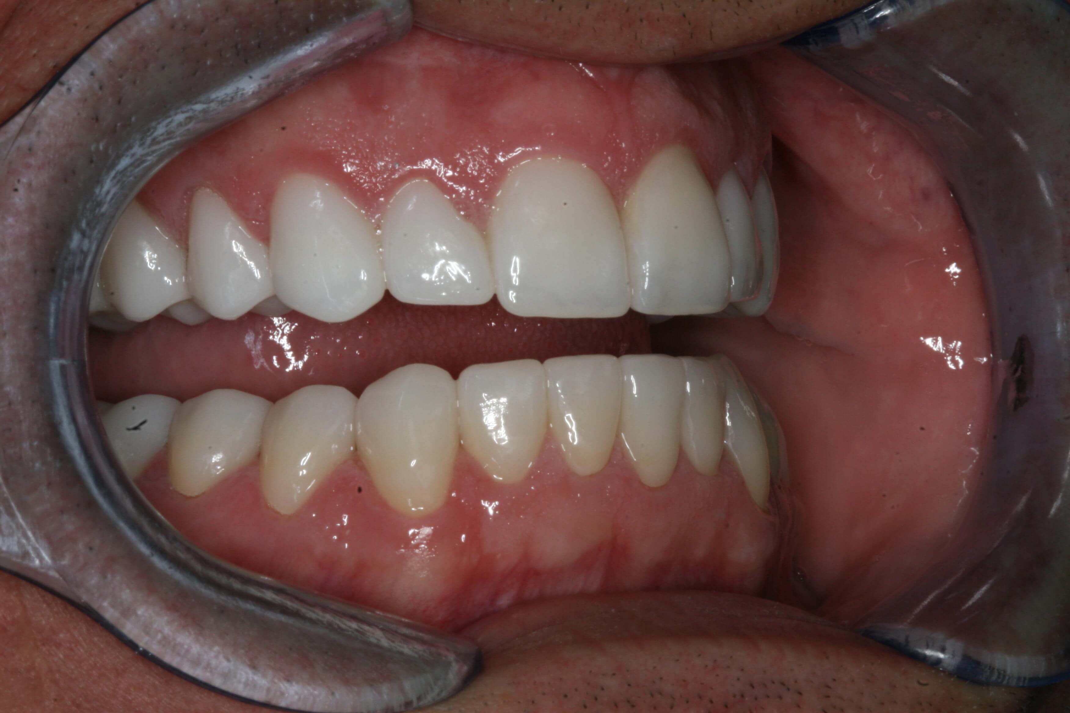
The lower was done first, then the upper. The preparations were done in one day and the patient left with provisionals that were custom made to look almost exactly as the final restorations would look. This allows the patient to get the feel for what the finals will look and feel and speak like. This is very important that the provisional restorations (temporaries) are made exactly like the final porcelain teeth. Once the provisionals are approved, an impression is taken of them and sent to the laboratory for reference. D.H. Baker Dental Laboratory does all of our custom lab crowns if we do not make them in house with our CEREC one day crown technology. The particulars of this case demanded that the teeth were done by the dental lab.
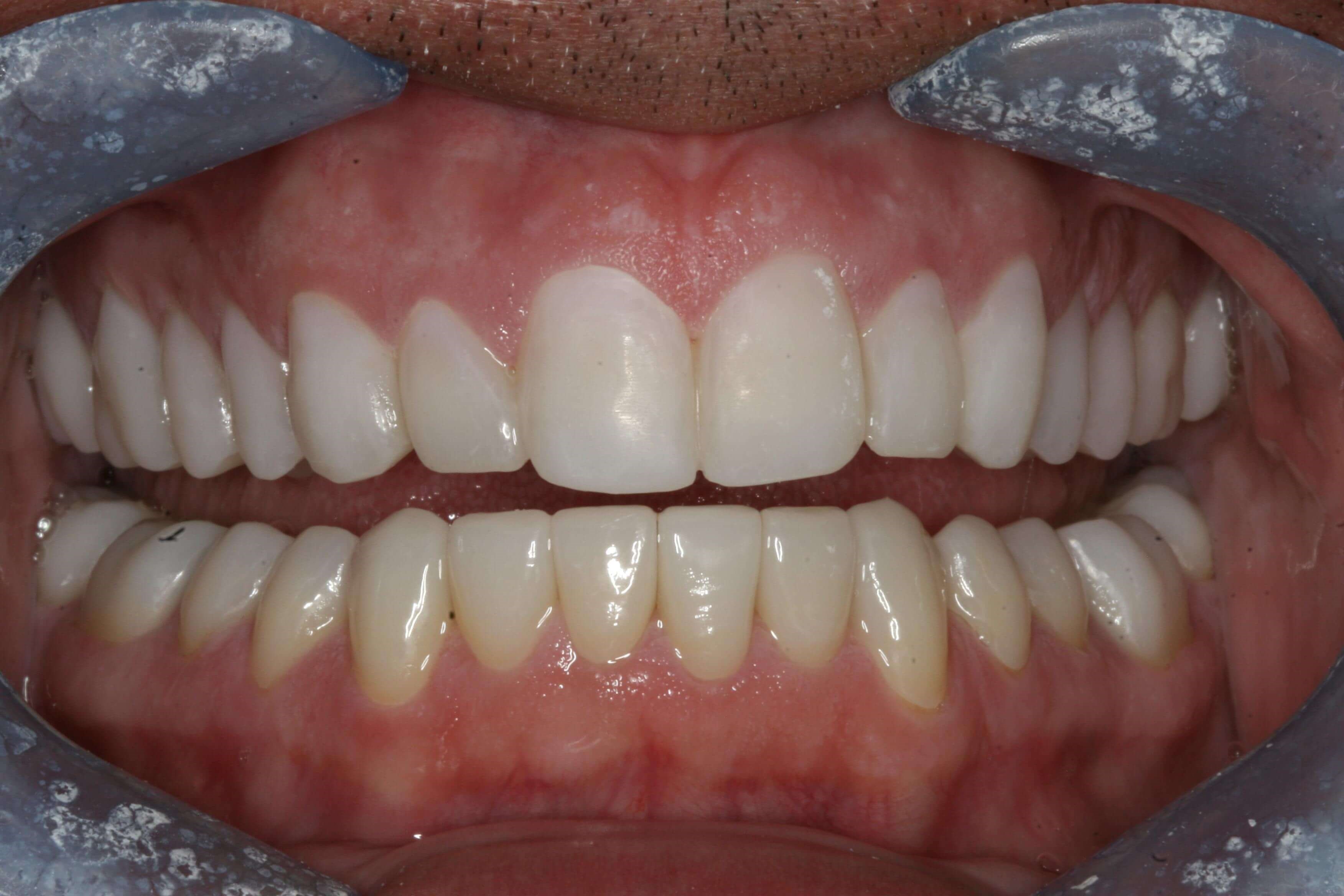
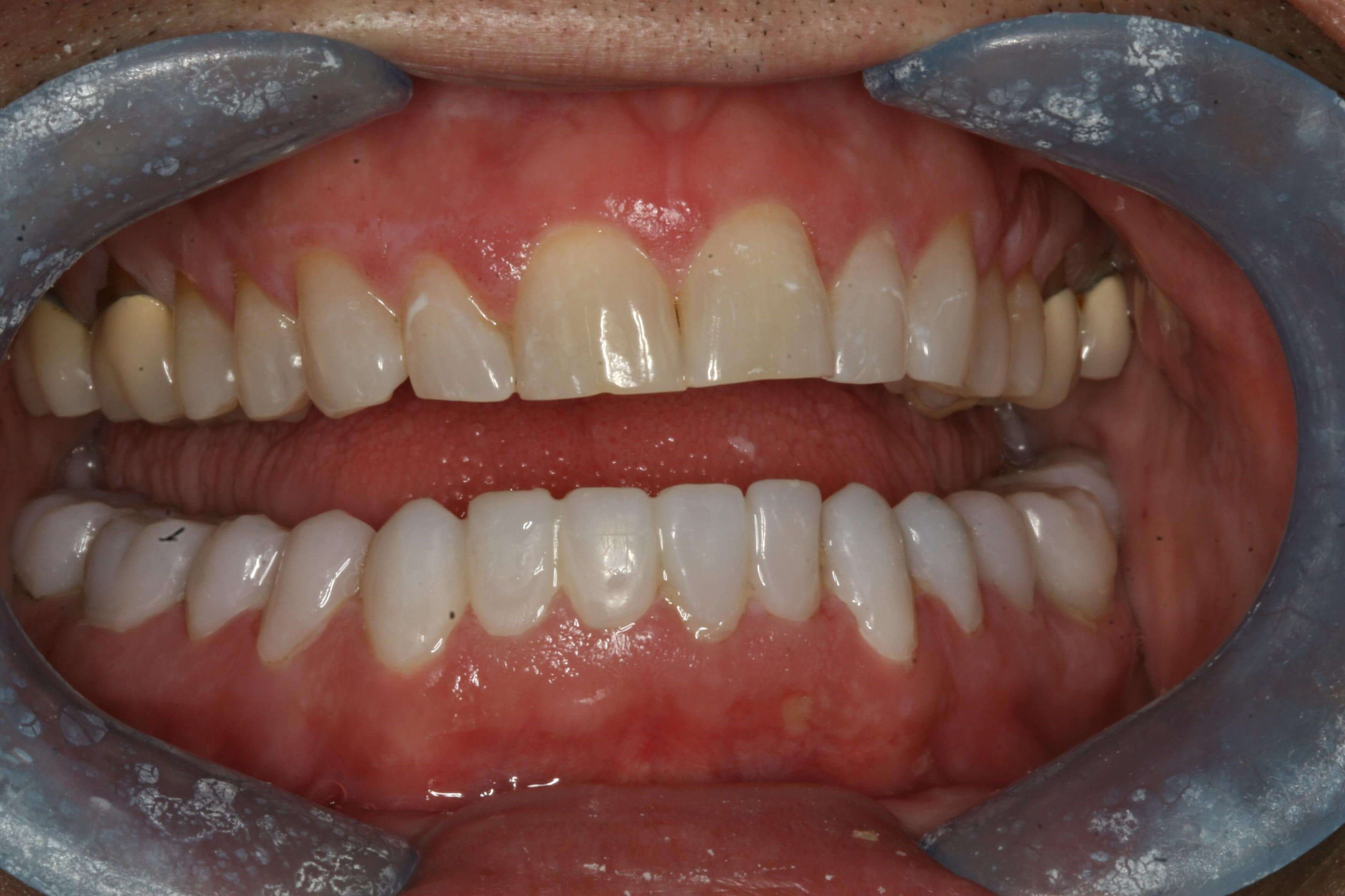
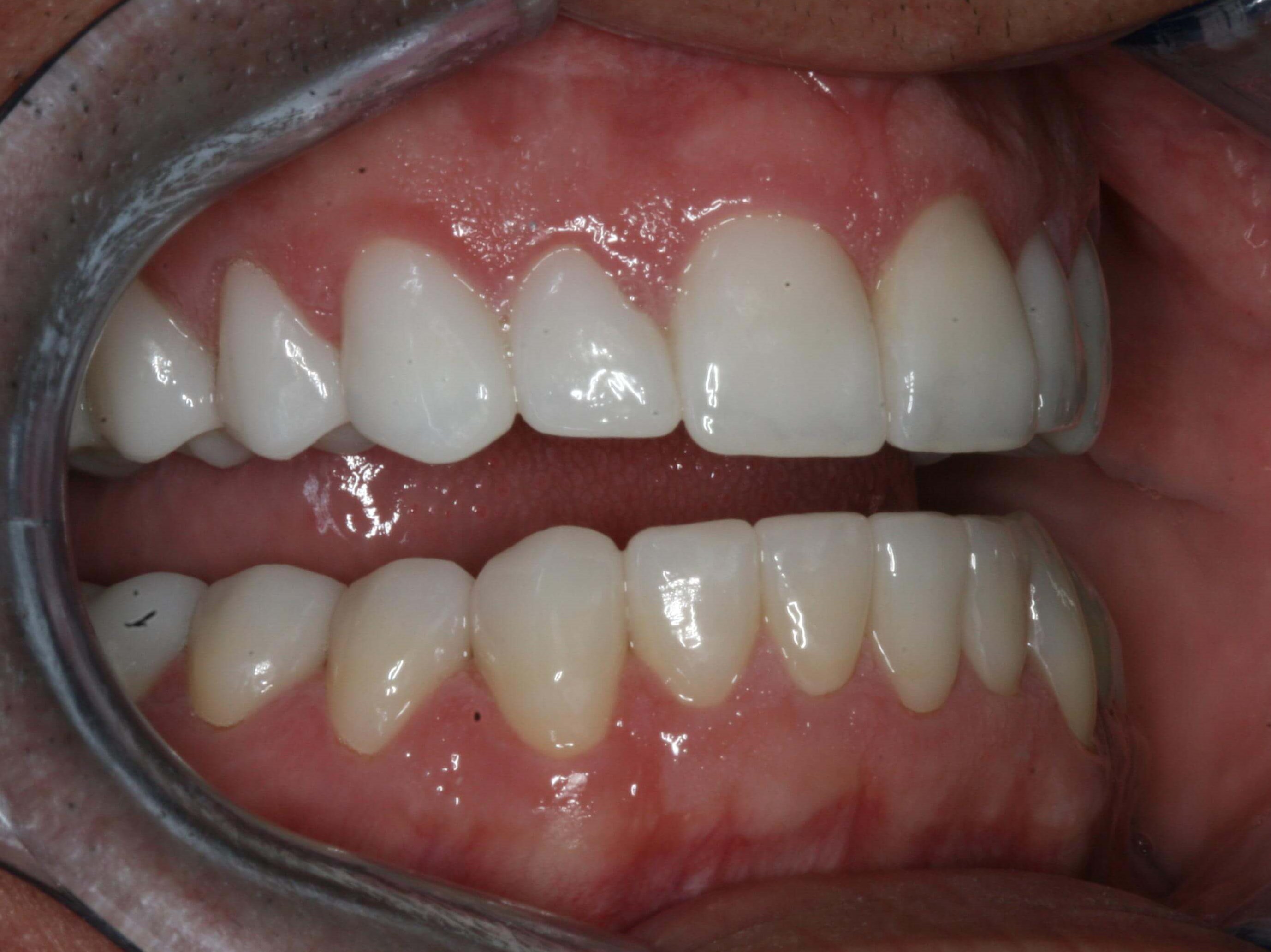
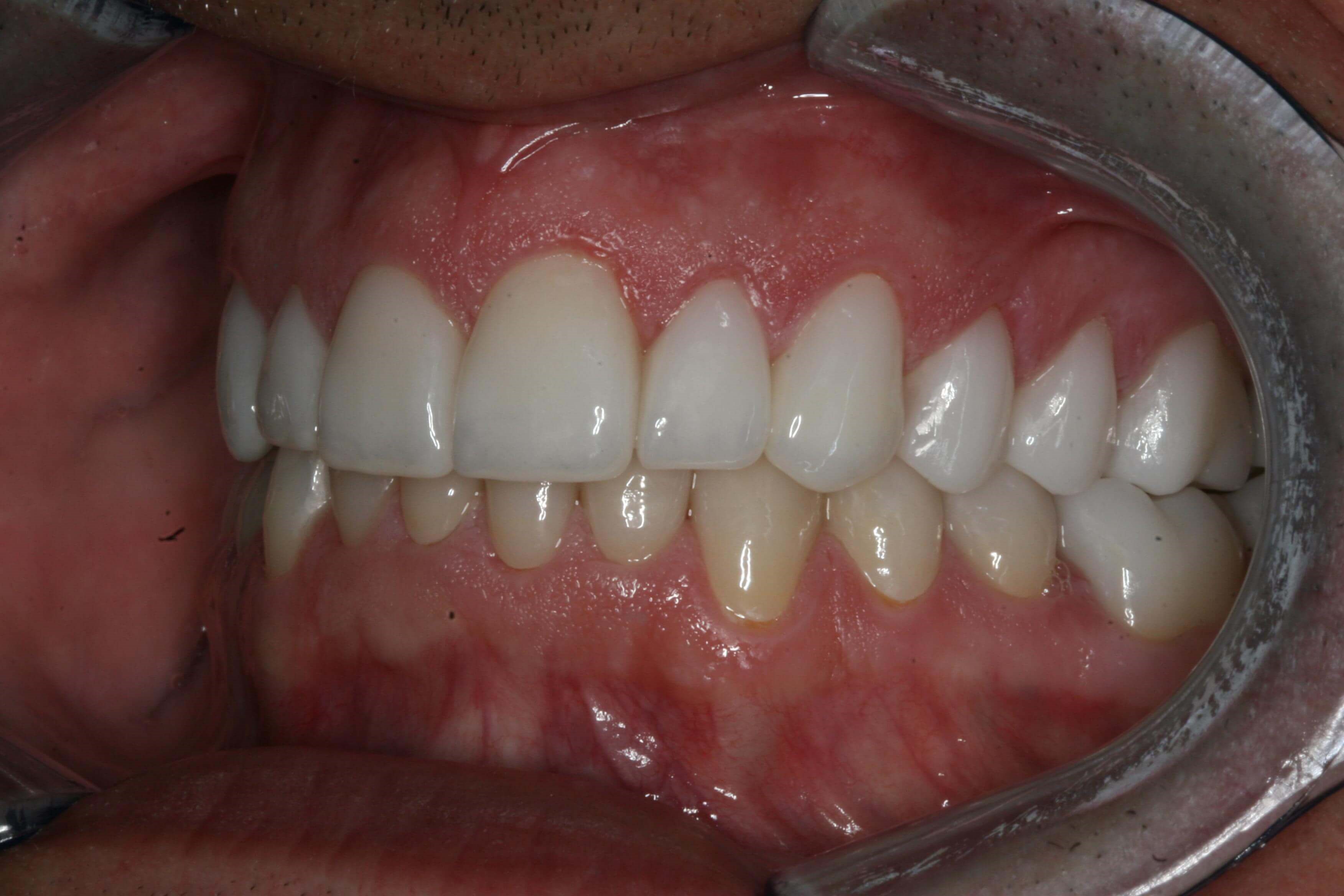
Once finished with the lower teeth, the patient could not wait to get to the next procedure. Doing the upper teeth came next and provisionals were placed. The final restorations were delivered and the results were amazing. The patient was extremely pleased with the whole process and the outcome was very awesome. The teeth whitening and teeth recontouring was done as he desired and the appearance was much improved.
If you wish to keep your teeth, have them look youthful and insure that they last your lifetime, you should give us a call and let us perform an examination. Teeth should always be age appropriate, that is they should look your age or a little younger chronologically. Permanent teeth come into the mouth starting at age 6. Our teeth should always be our age or a little younger than we are. We see 80 year old patients that have teenager teeth, and teenagers with 80 year old teeth. The wear of the teeth is often ignored by dentists and can lead to expensive repairs or disastrous outcomes. We promise teeth you will love and quality care that will last. We are located in Traverse City Michigan near Sam's Club in Garfield Township not far from the Grand Traverse Mall. We also do implants and family dentistry. We see many children and they enjoy coming to our office because of our caring, highly trained team. Call us today!
Location
Popular Searches
* All information subject to change. Images may contain models. Individual results are not guaranteed and may vary.

