Traverse City, MI Smile Makeover to improve bite and appearance
Procedure
- Dental Crowns
- Cosmetic Dentistry
- Smile Makeover
- Dental Crowns
- Caps
- Dental Caps
- All Ceramic Crowns
- Porcelain caps
- Restorative Dentistry
- All Porcelain Crown
- Porcelain Crowns
- Cosmetic
- Porcelain Dental Crowns
- Worn Teeth
- Whitening
- Worn Out Fillings
- Decay
- Cosmetic Dentistry.com
- Occlusal Therapy
- Wax-up
- Decay Removal
- Dental Examination
- Dental X-Rays
- Reconstruction
- Worn Teeth
- Damaged tooth
- Discolored Teeth
- Decay
- Chipped Teeth
- Bruxism
- Grinding
Procedure Details
Smile Makeover
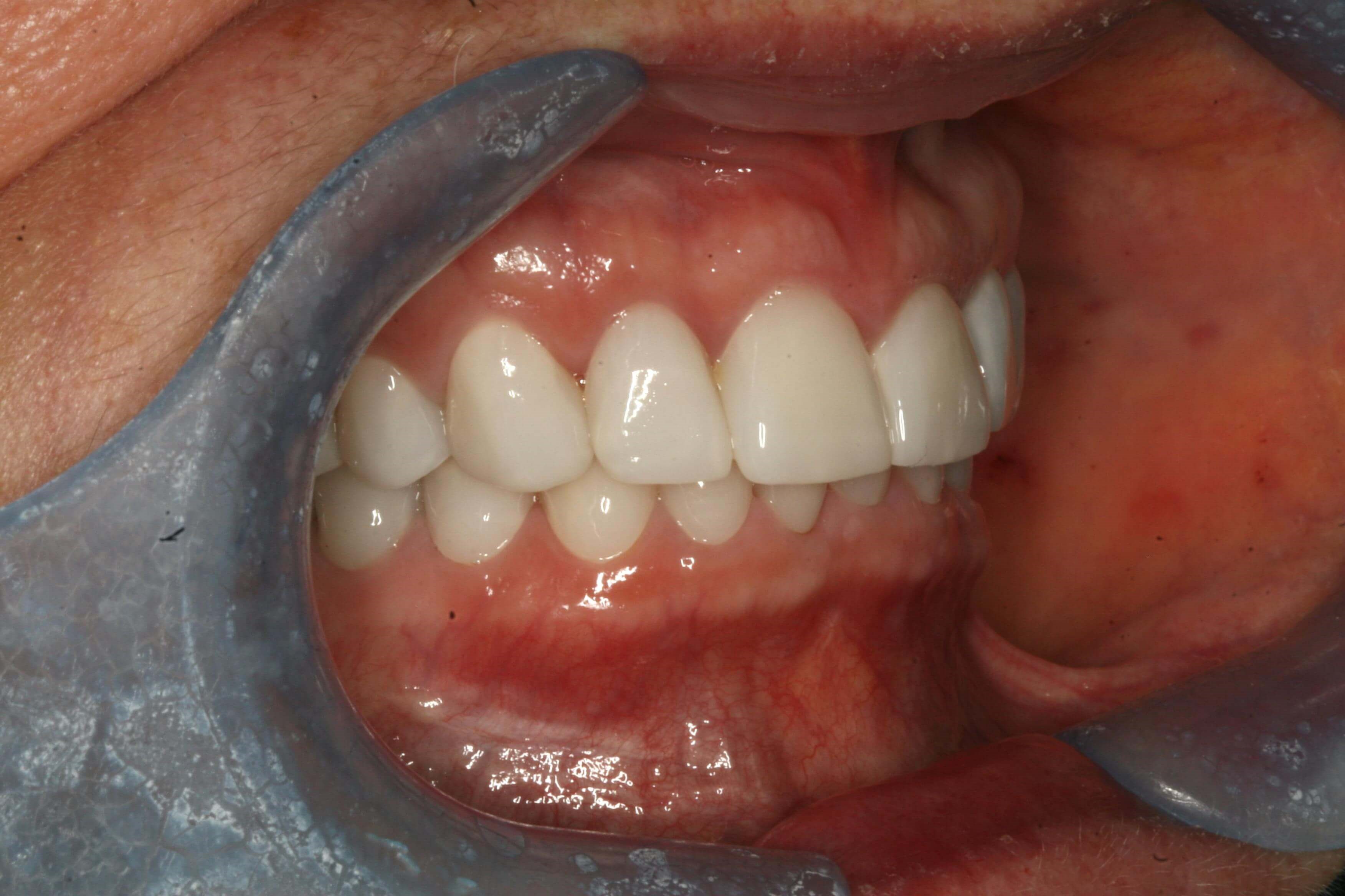
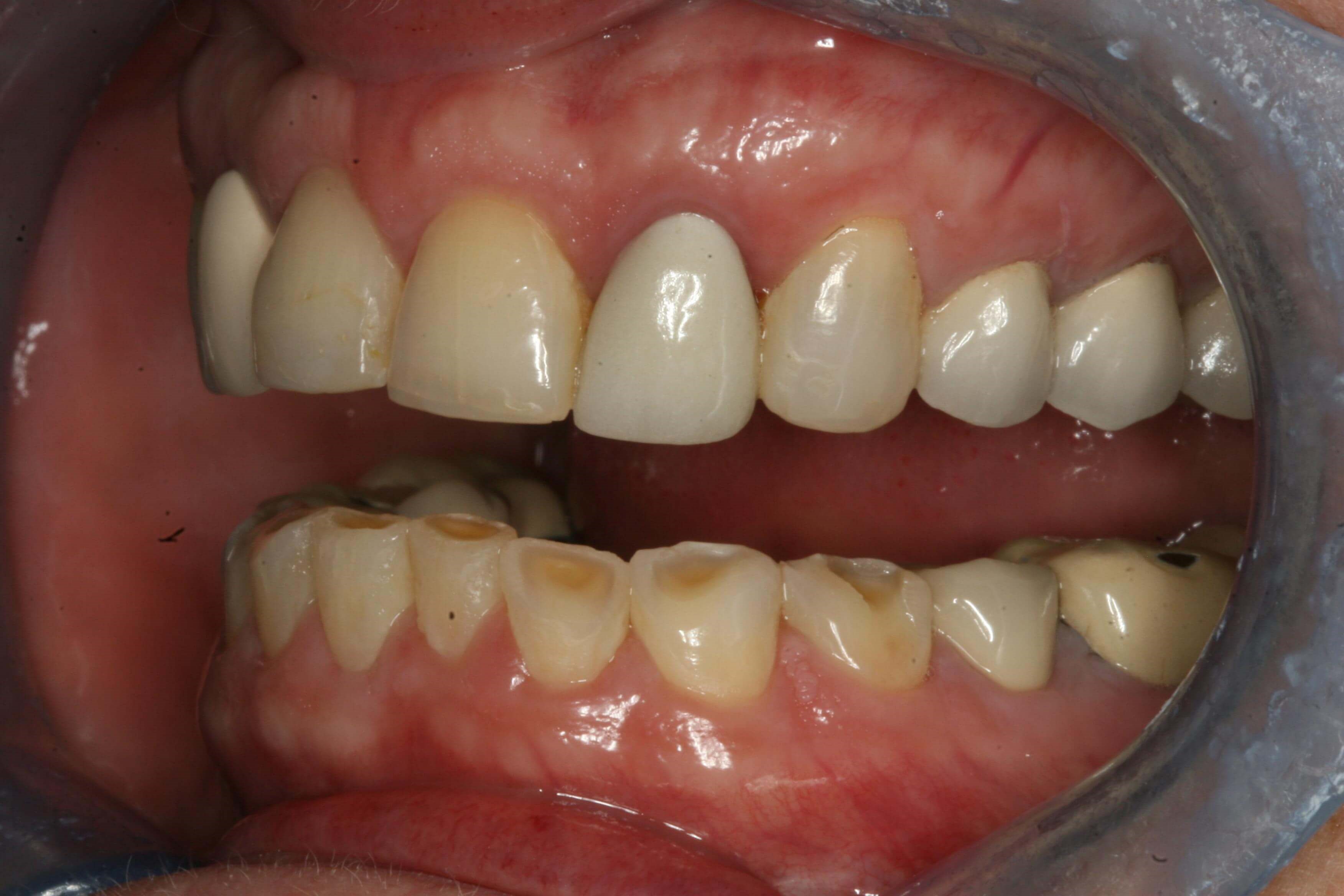
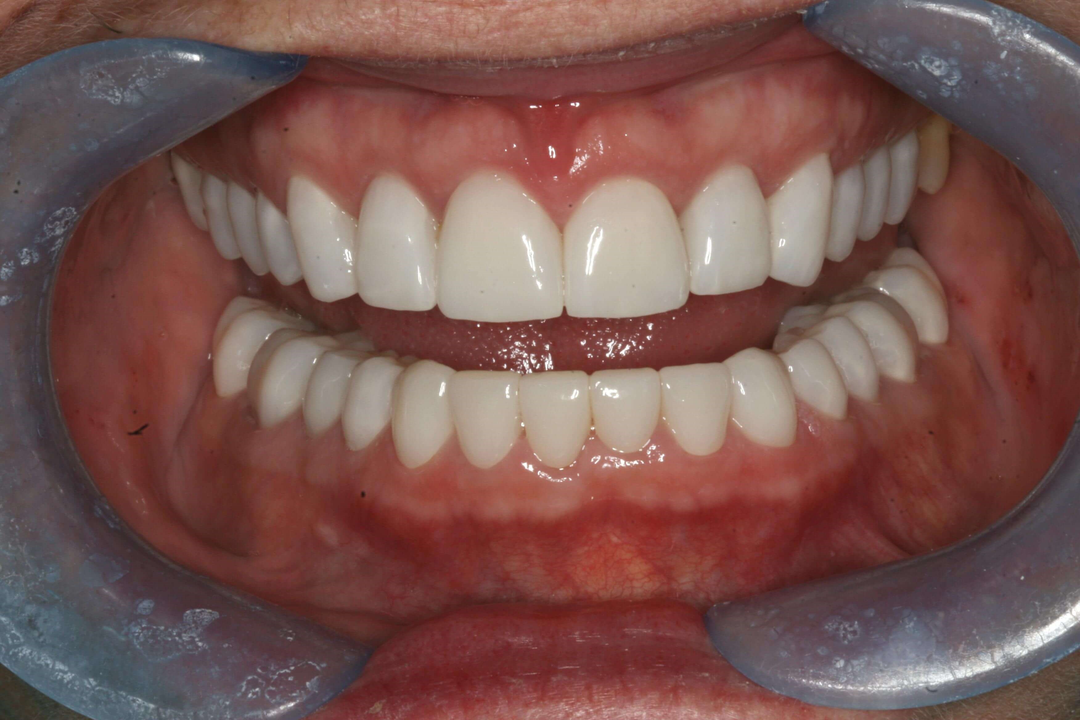
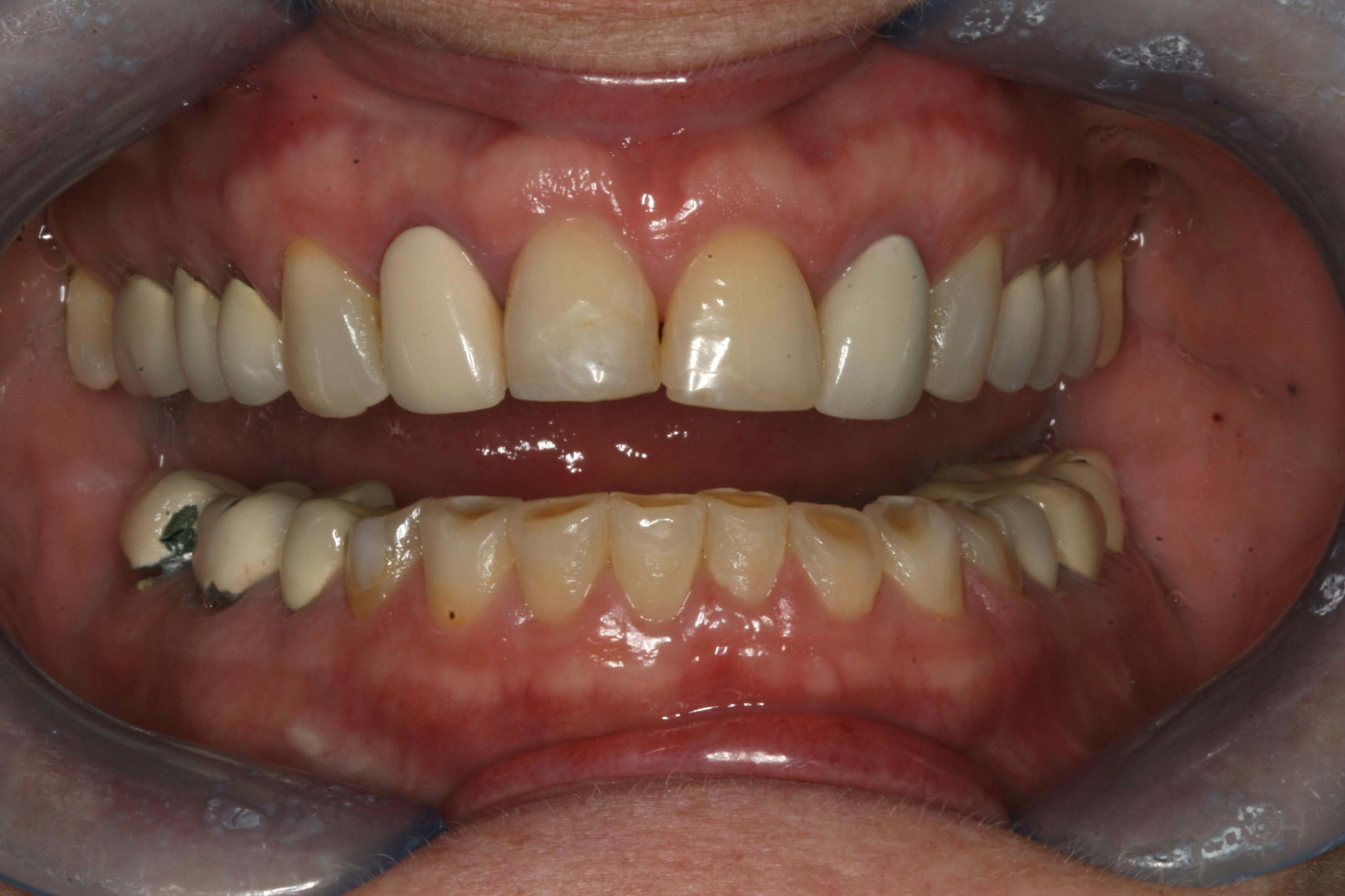
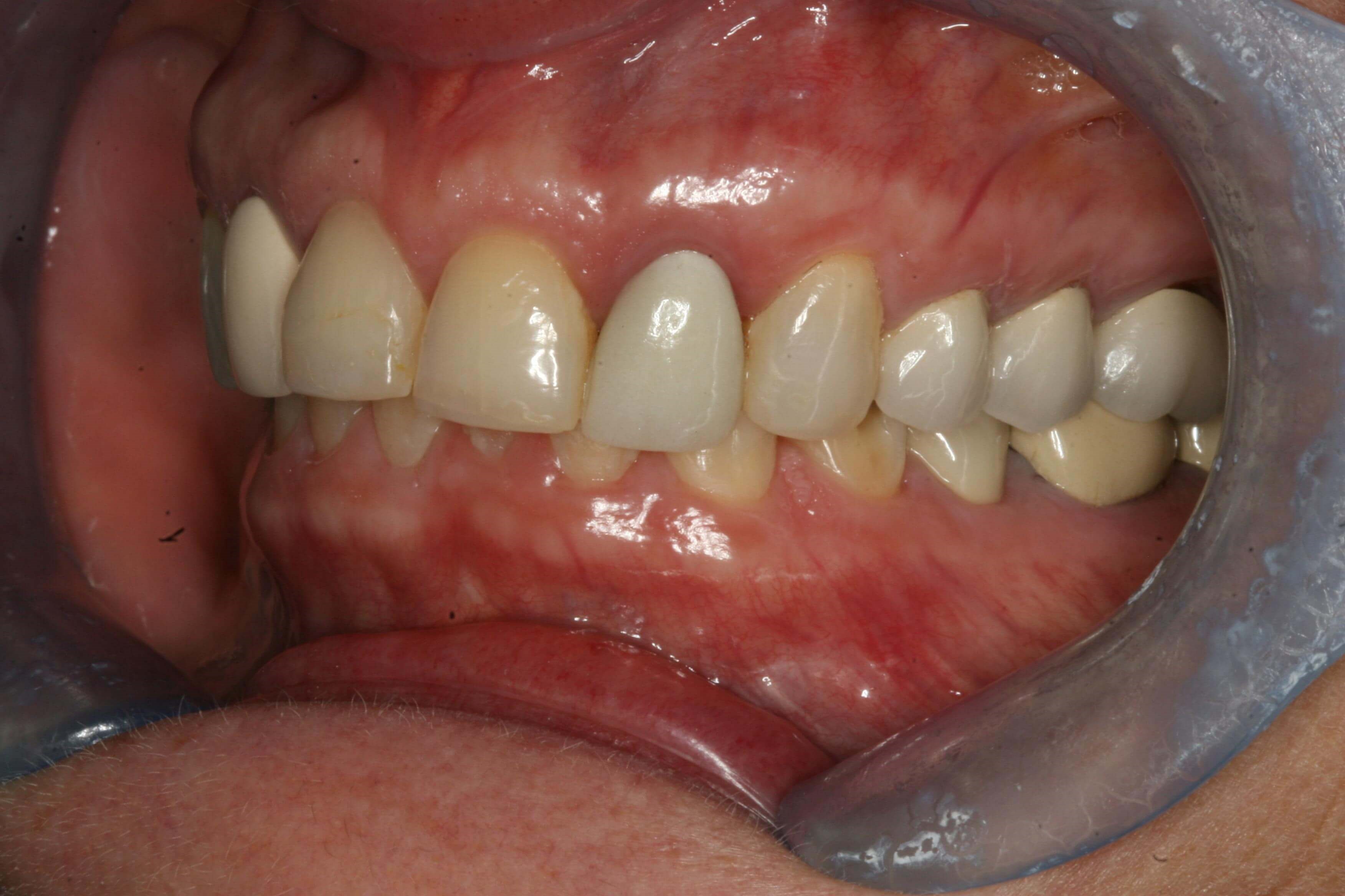
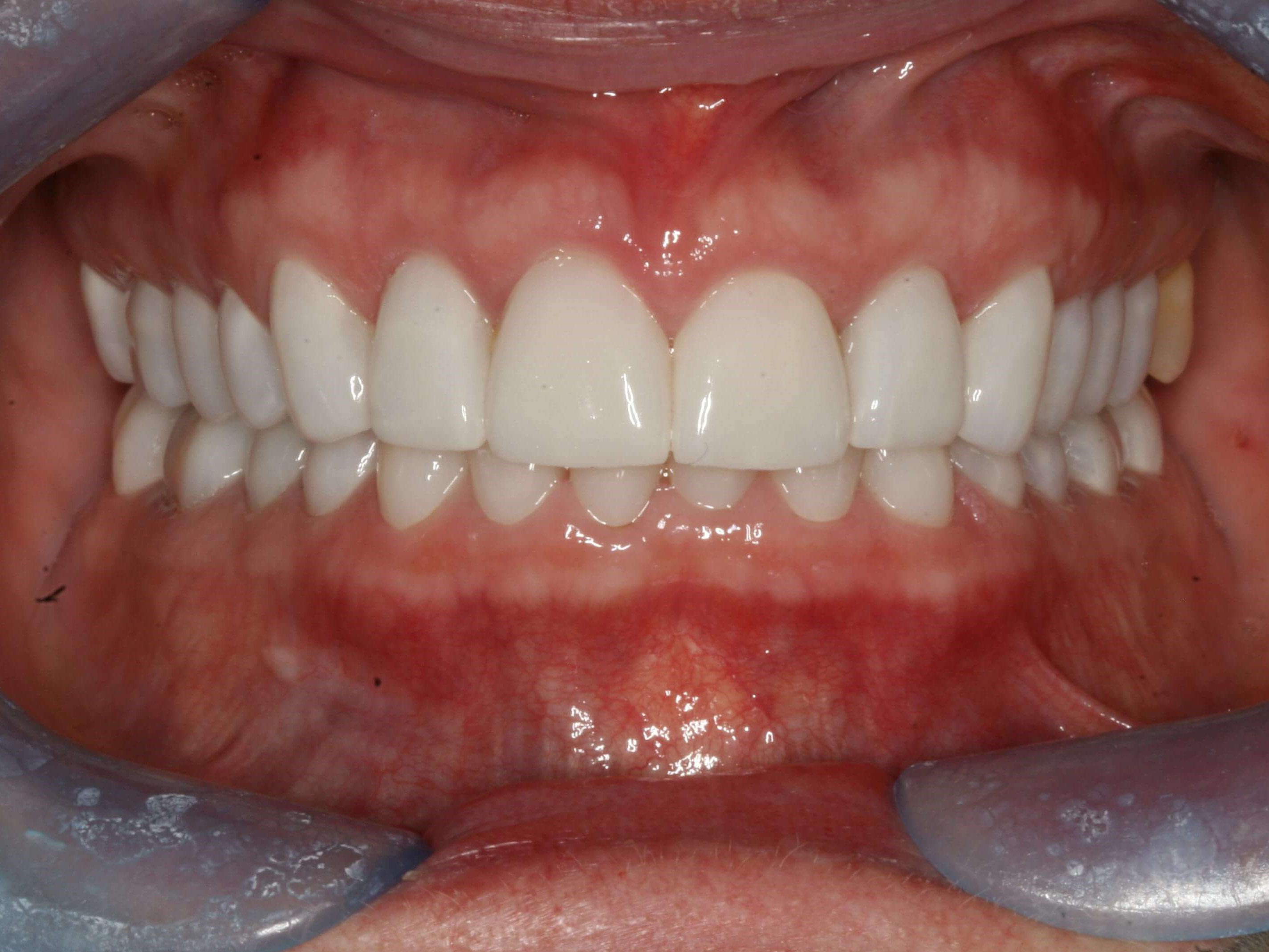
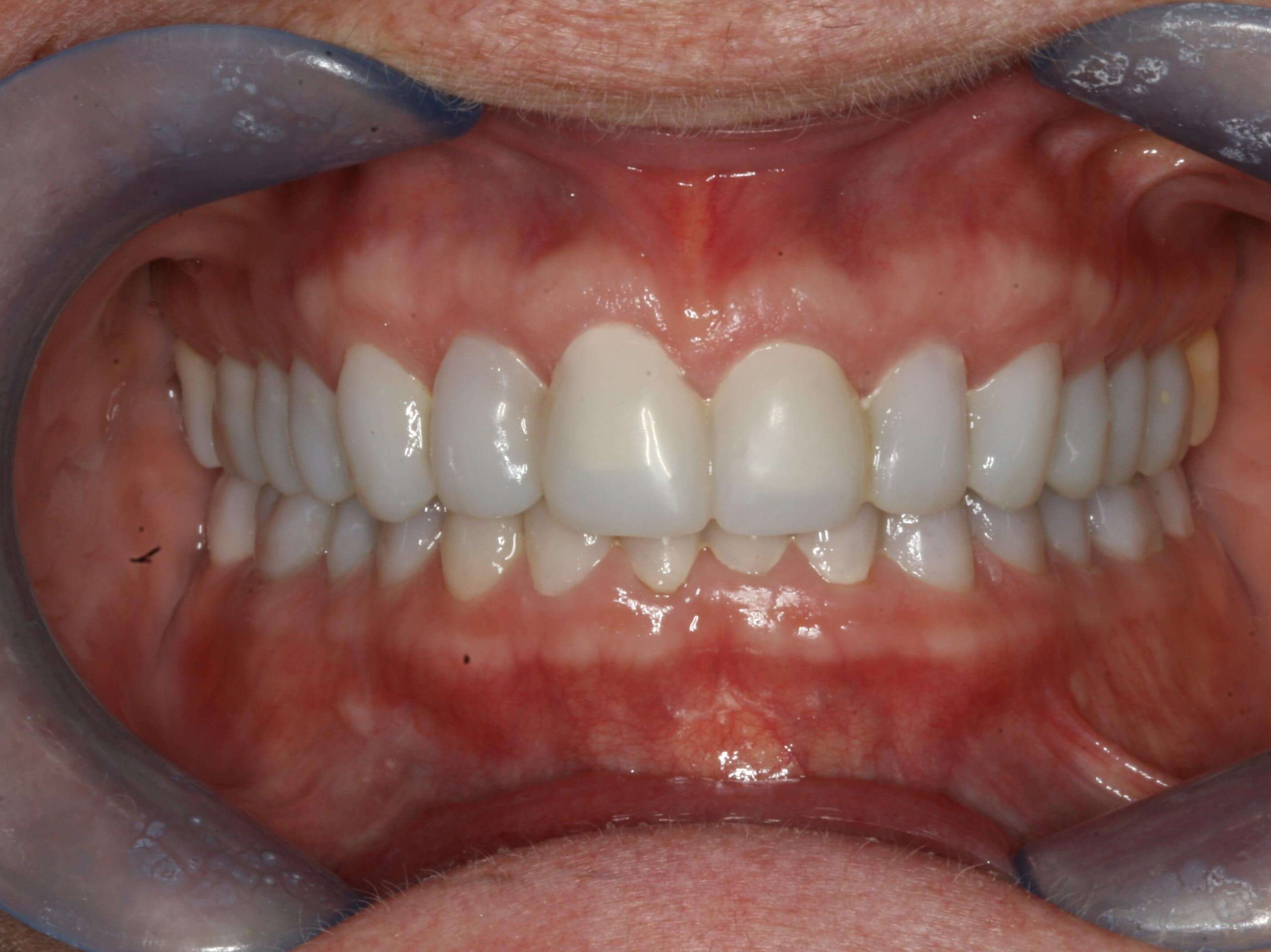
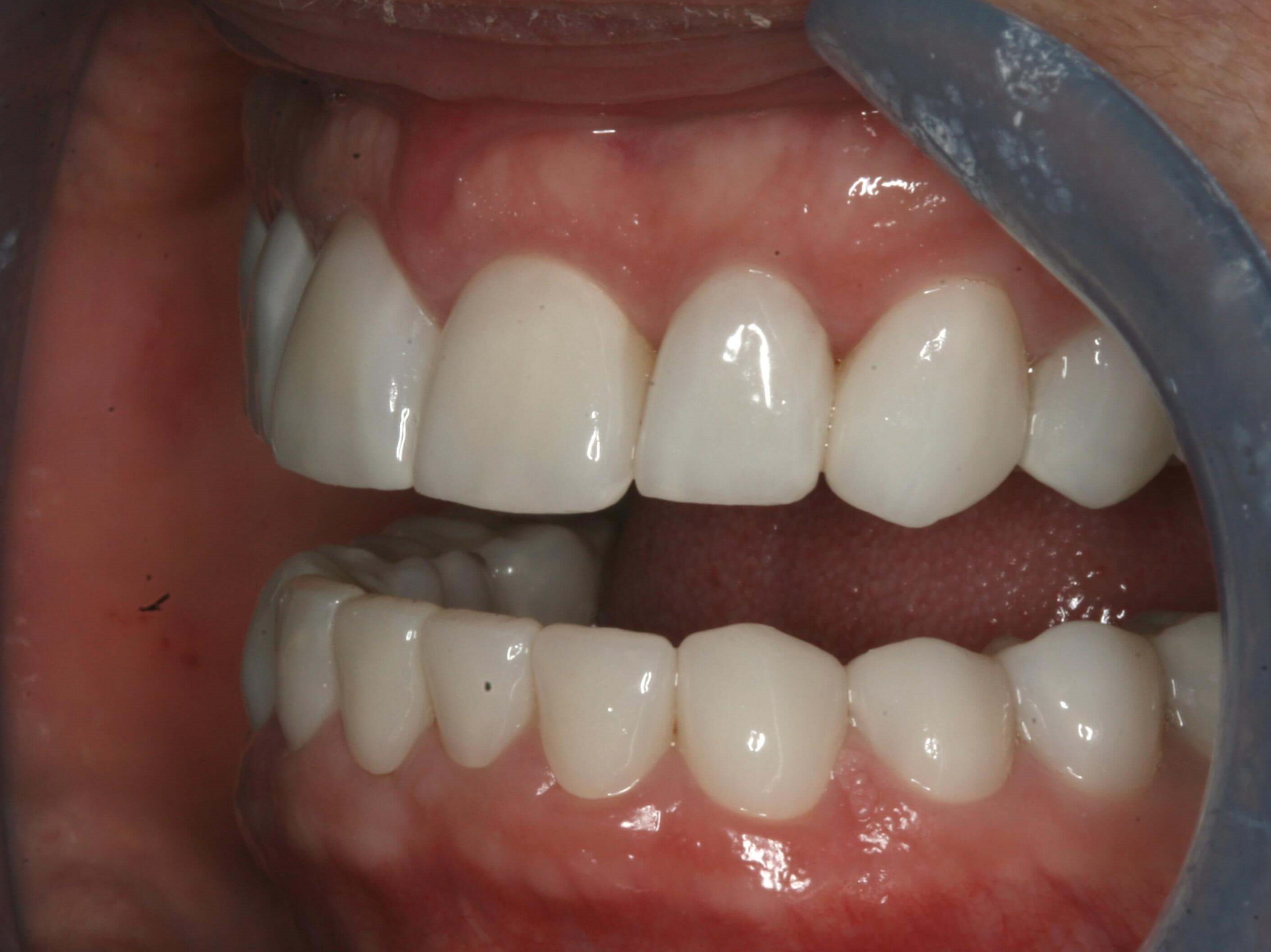
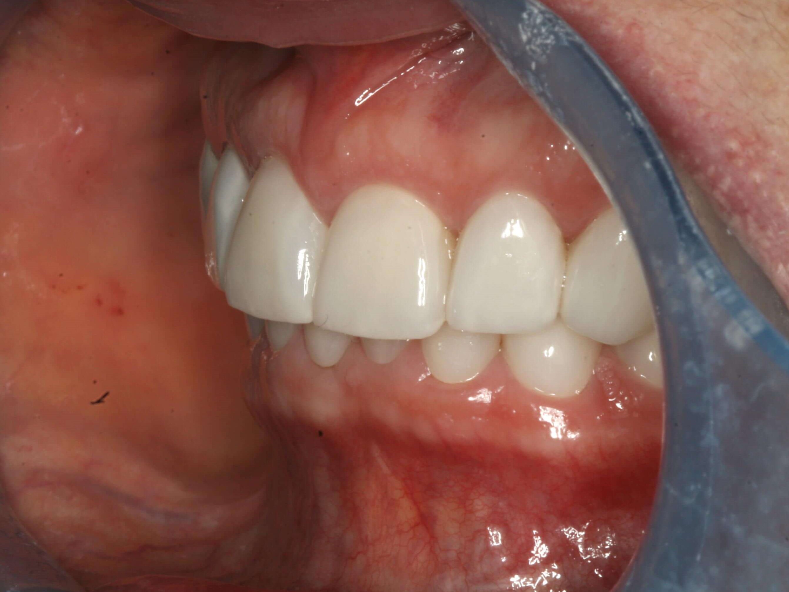
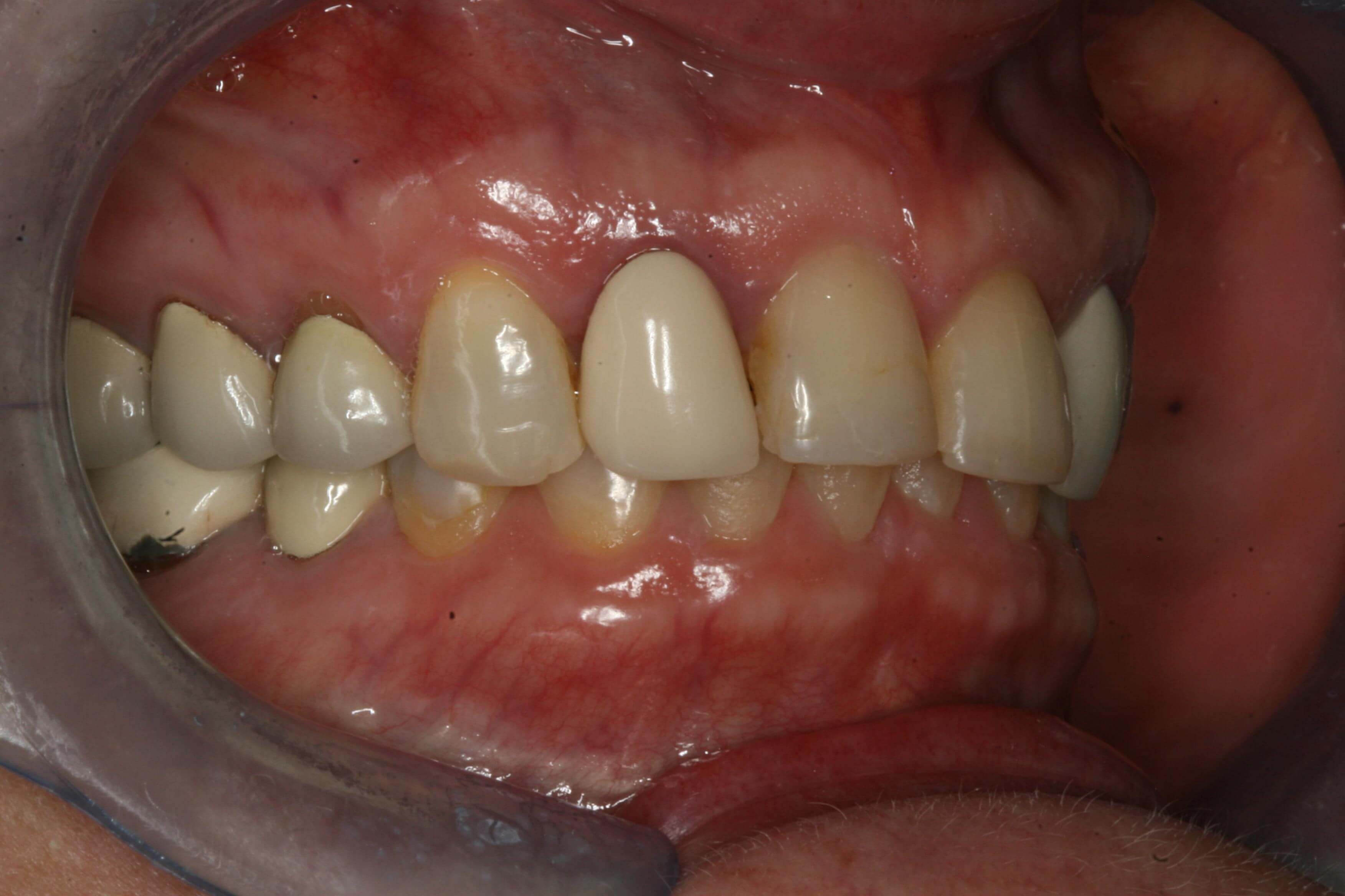
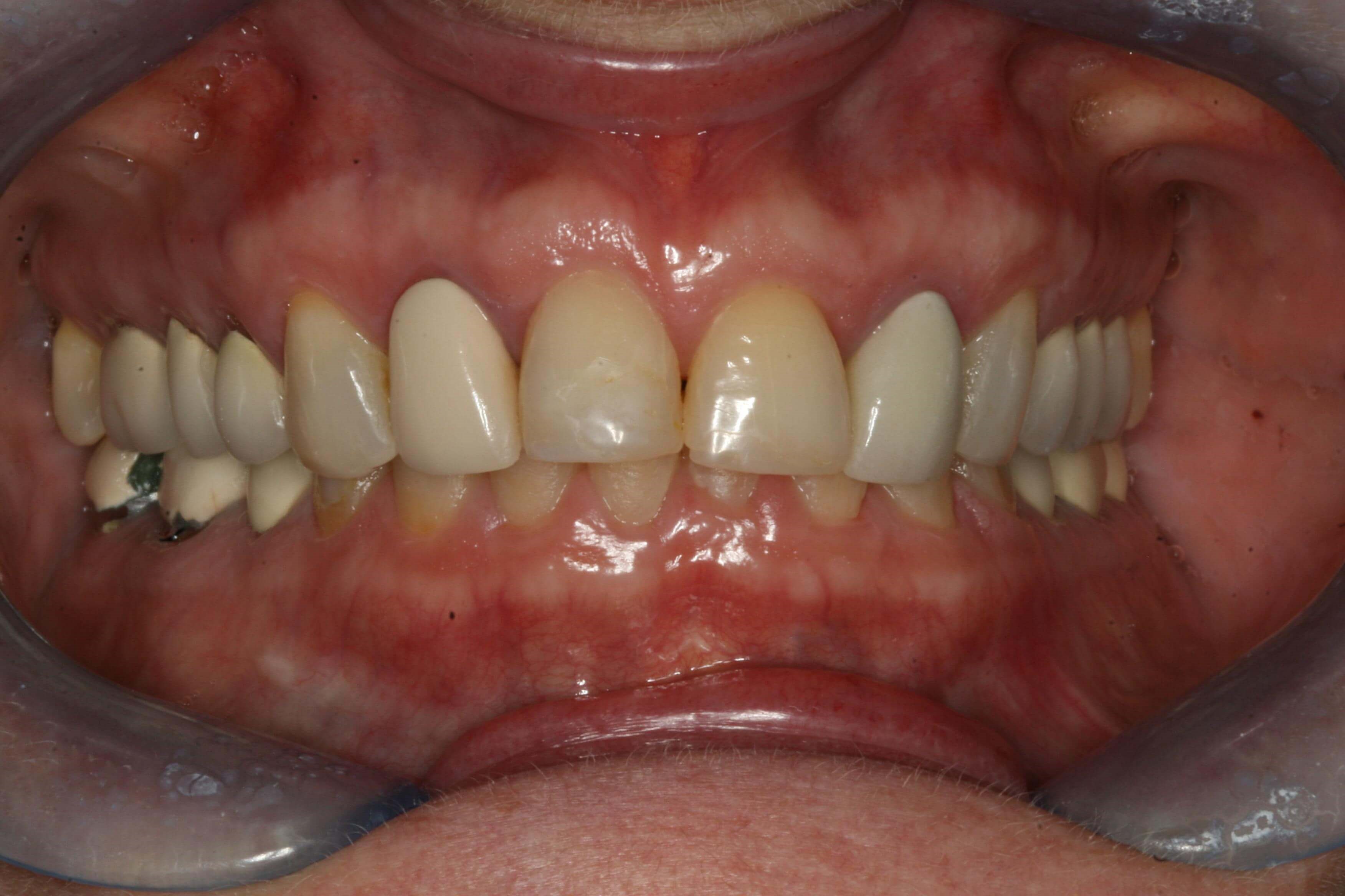
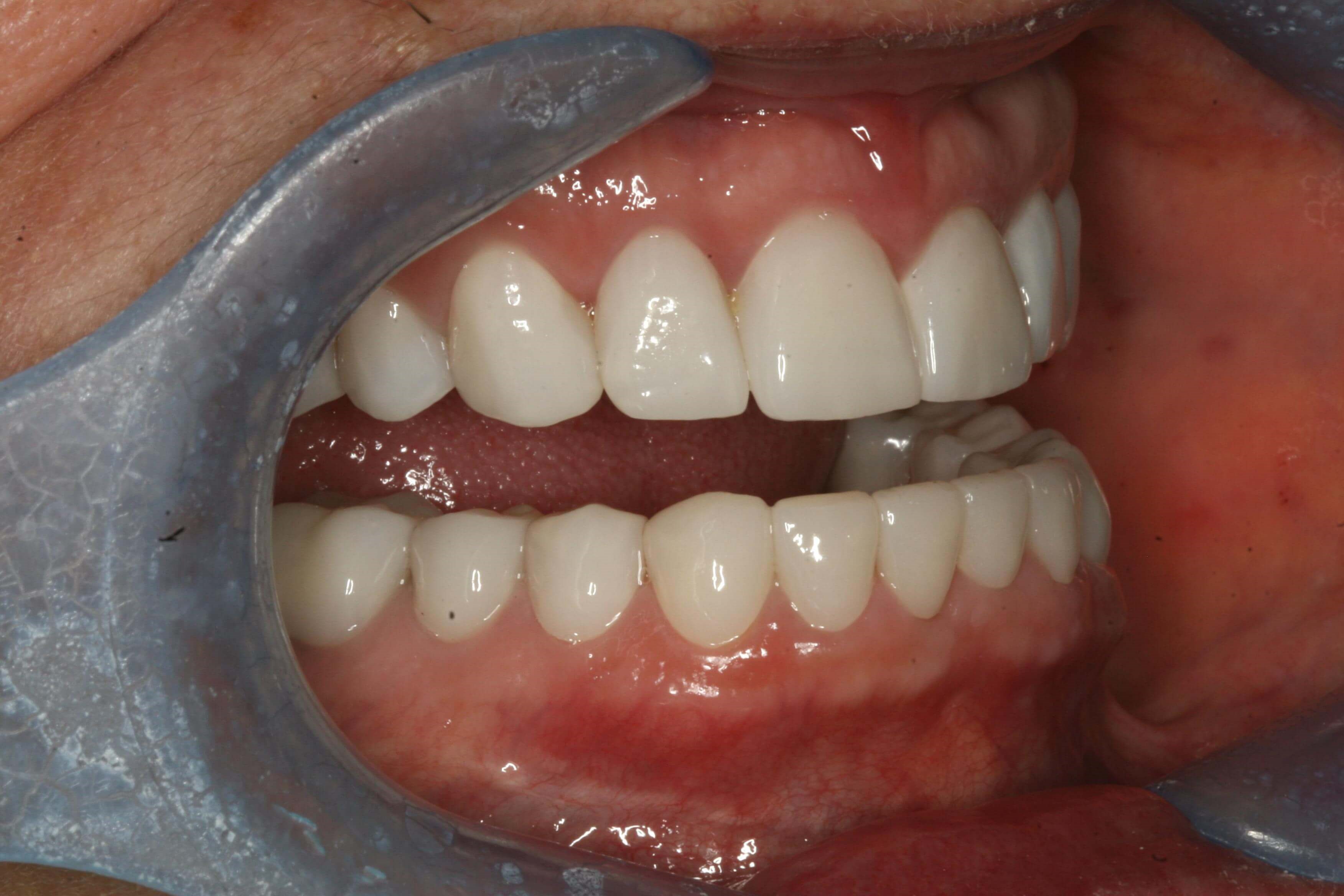
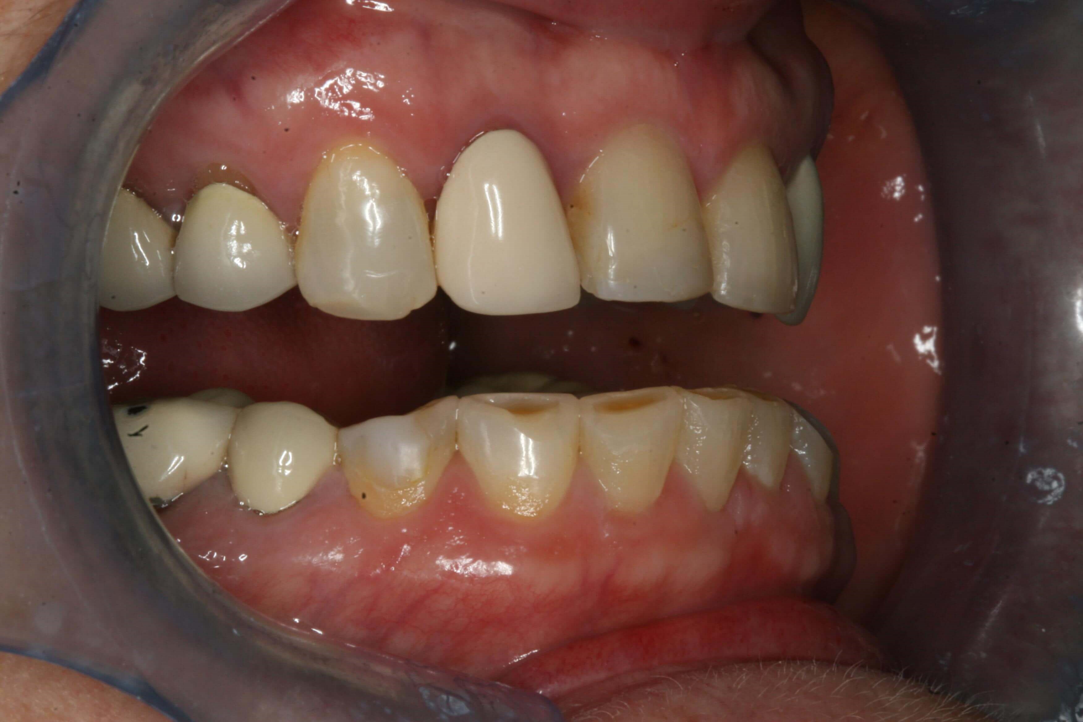
This case shows how a dentition can become worn and unattractive in appearance. What I call "tooth at a time" dentistry typically ignores wear and aesthetics of a smile. Smiles become dull and patients do not smile fully when asked to show their teeth. The patients smile with their lips but not the whole face, not the eyes. Once these restorations were placed, the patient was smiling differently, better, fully all the way to her eyes. There was a sparkle that was not there before. This office looks at the total picture when a person becomes a patient here. We have an initial examination that documents everything and we empower the patient to have things done as they wish them to be done. WE LISTEN! We love our patients as family, treat them that way and the results are amazing. I have been practicing dentistry for over 33 years and I still love my job. It is cases like this that bring all of my training in esthetics together and allow me to transform smiles into what a patient has always wanted. You should have "age appropriate" teeth. That is you should not be 60 years old and have 80 year old teeth. We see wear in young dentitions and we do something about it. Prevention is easier than treatment. Come see us and have your teeth treated by a well trained, happy and vibrant dental team. You will be amazed at the difference and how easy dentistry can be.
Location
Popular Searches
* All information subject to change. Images may contain models. Individual results are not guaranteed and may vary.

