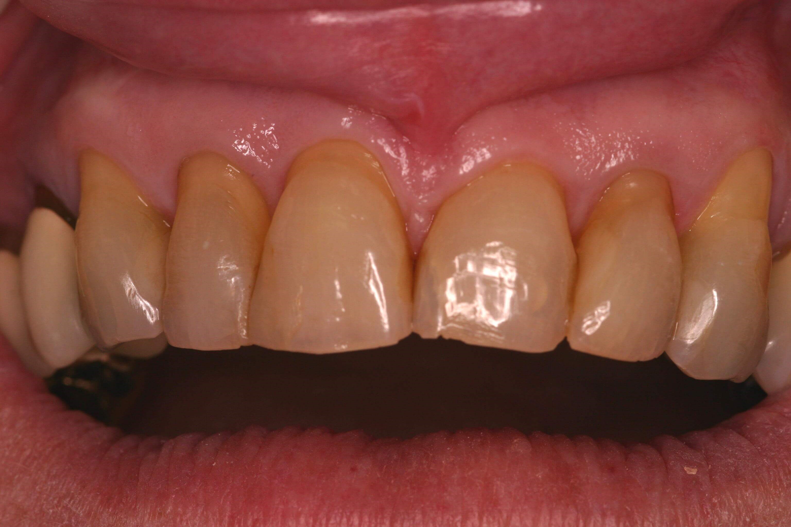
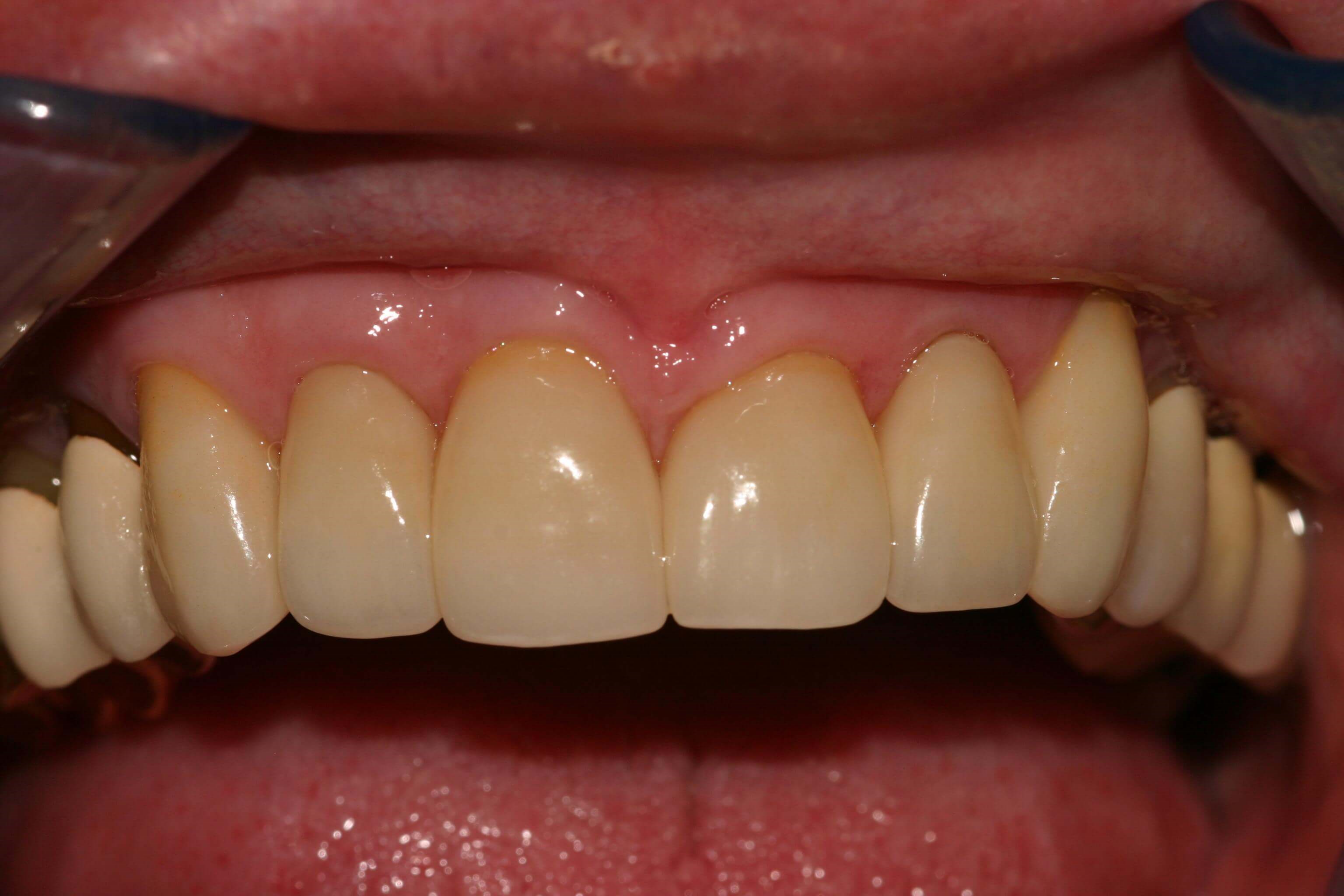
Worn Dentition and fillings need Crowns
Procedure
- Dental Crowns
- Dental Caps
- Smile Makeover
- Decay
- Worn Teeth
- Worn Out Fillings
- Cosmetic
- Porcelain Crowns
- Caps
- Porcelain Crowns
- porcelain crowns
- Dental X-Rays
- Crowded Teeth
- Worn Teeth
- Worn Out Fillings
- Decay
- Chipped Teeth
- Discolored Teeth
- Damaged tooth
- Impressions
- Laboratory
- X-Ray
- Cosmetic Dentistry
- Restorative Dentistry
- Traverse City Dentist
- Dentist in Traverse City
- Dentist Traverse City
Procedure Details
Worn Smile gets new look!
This patient needed to space treatment out over time to make it more affordable. We were able to do two crowns at a time over three different dates to help her get the smile and restored, strong teeth that she was looking for. When you use the best materials and laboratory, you get natural aesthetic results like this. She just cannot stop smiling and they look terrific!
Location
Popular Searches
* All information subject to change. Images may contain models. Individual results are not guaranteed and may vary.

