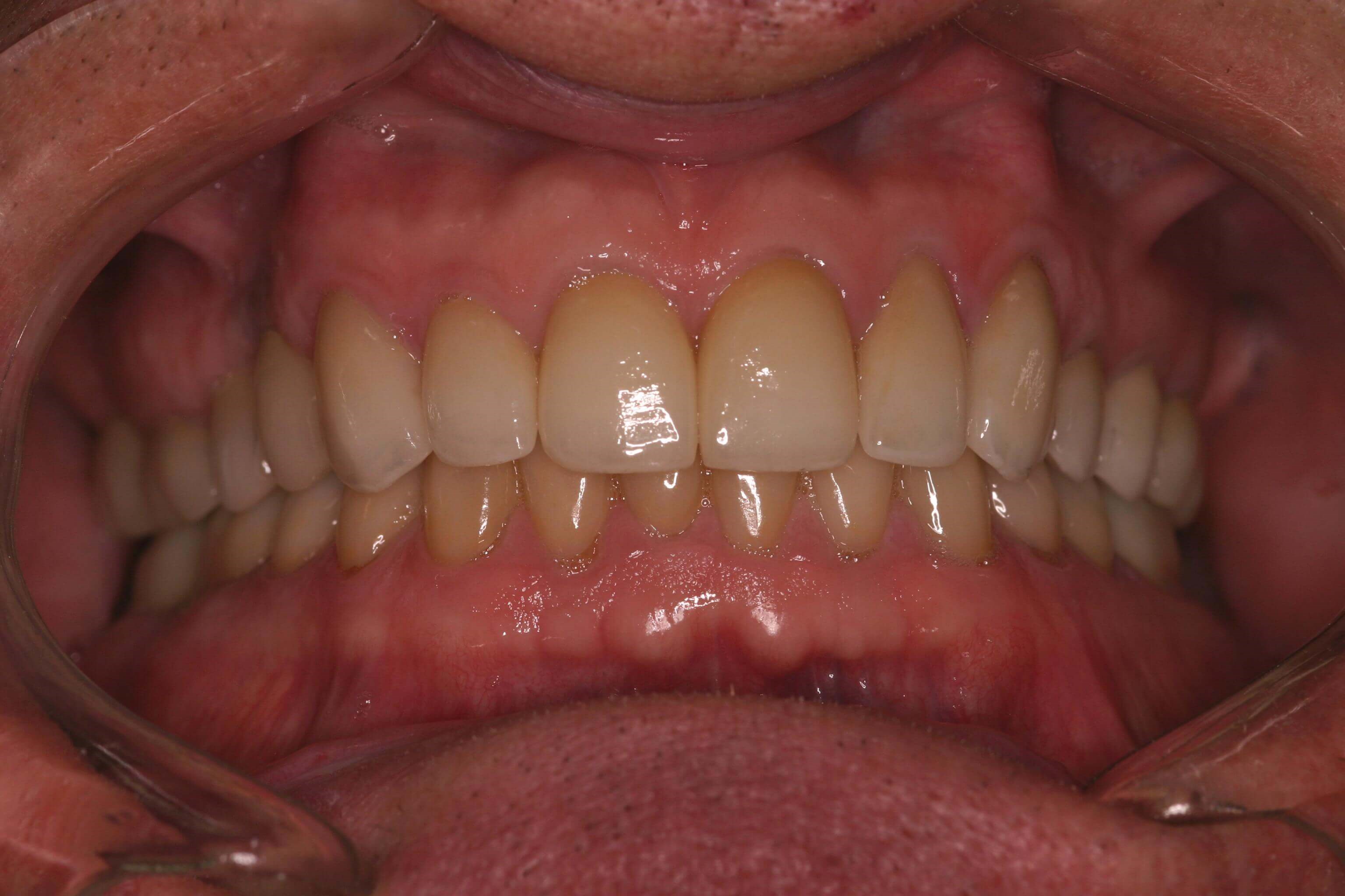
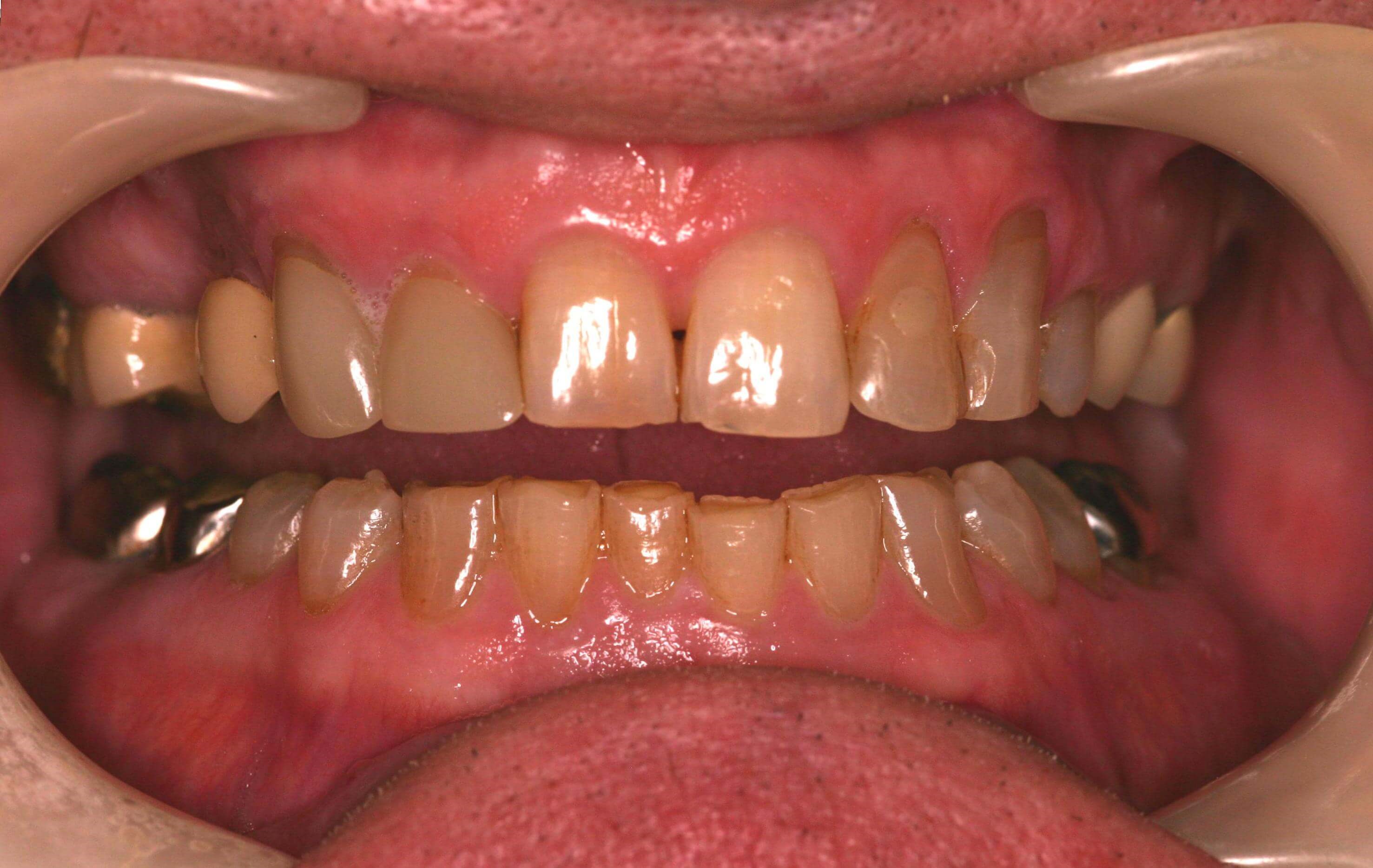
Traverse City, MI older male patients gets youthful smile makeover
Procedure
- Dental Crowns
- Porcelain Crowns
- Worn Teeth
- Smile Makeover
- Caps
- Dental Caps
- Cosmetic
- Whitening
- Porcelain Crowns
- porcelain crowns
- Worn Teeth
- Damaged tooth
- Chipped Teeth
- Grinding
- X-Ray
- Impressions
- Laboratory
- Cosmetic Dentistry
- Occlusal Therapy
- Restorative Dentistry
- Traverse City Dentist
- Dentist in Traverse City
- Dentist Traverse City
- Porcelain caps
- All Ceramic Crowns
- Dental Crowns
- All Porcelain Crown
- Decay
- Smile Makeover
- Caps
- Worn Out Fillings
- Missing Teeth
- Decay Removal
- Discolored Teeth
- Worn Teeth
- Poor Smile
- Bruxism
- All Porcelain Crowns
- Dental X-Rays
- Porcelain Crown
- Diagnostic Wax-Up
- Dental Implants
- Smile Makeover
Procedure Details
Worn Dentition
Location
Popular Searches
* All information subject to change. Images may contain models. Individual results are not guaranteed and may vary.

