Young Woman in Traverse City would like a pretty smile!
Procedure Details
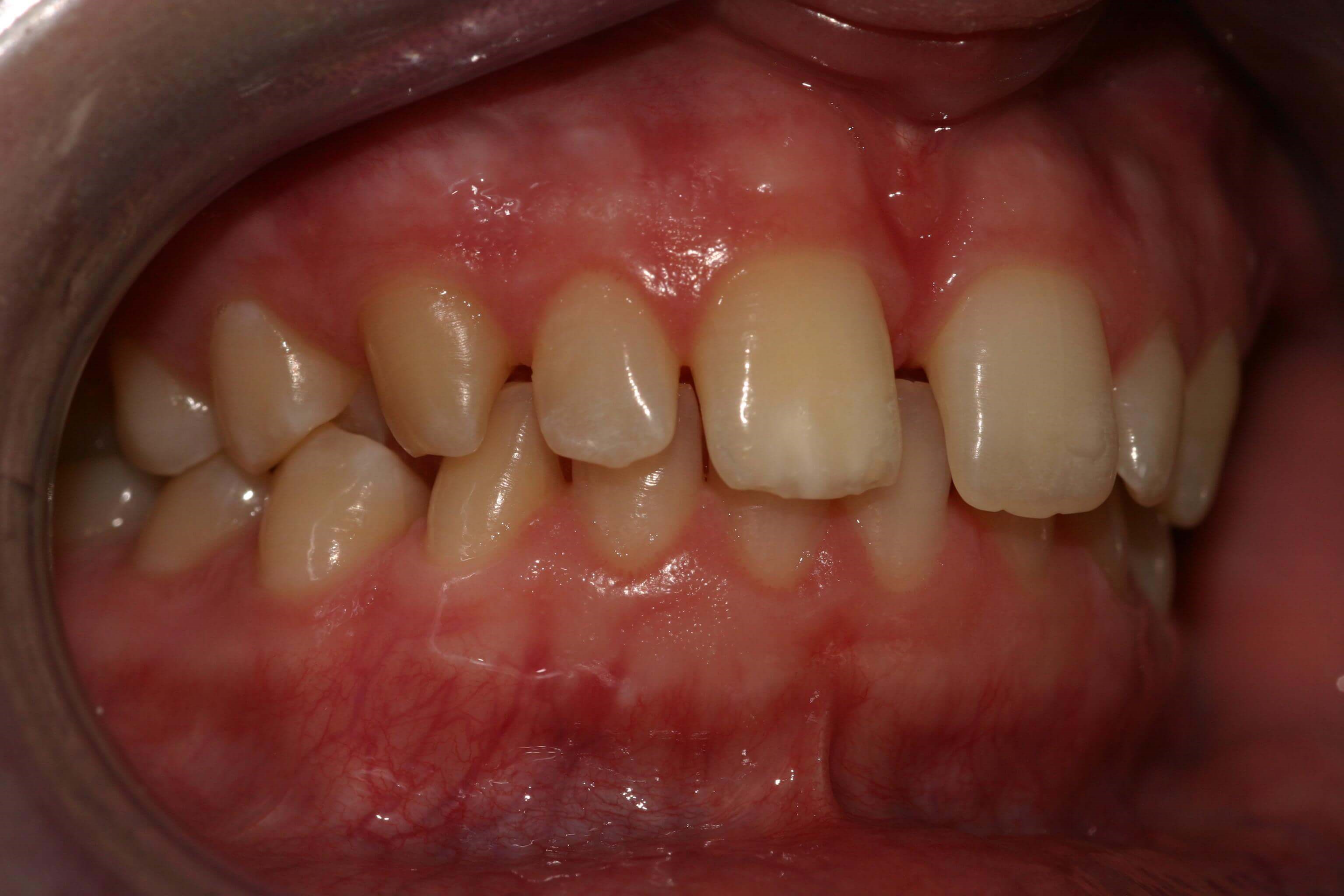
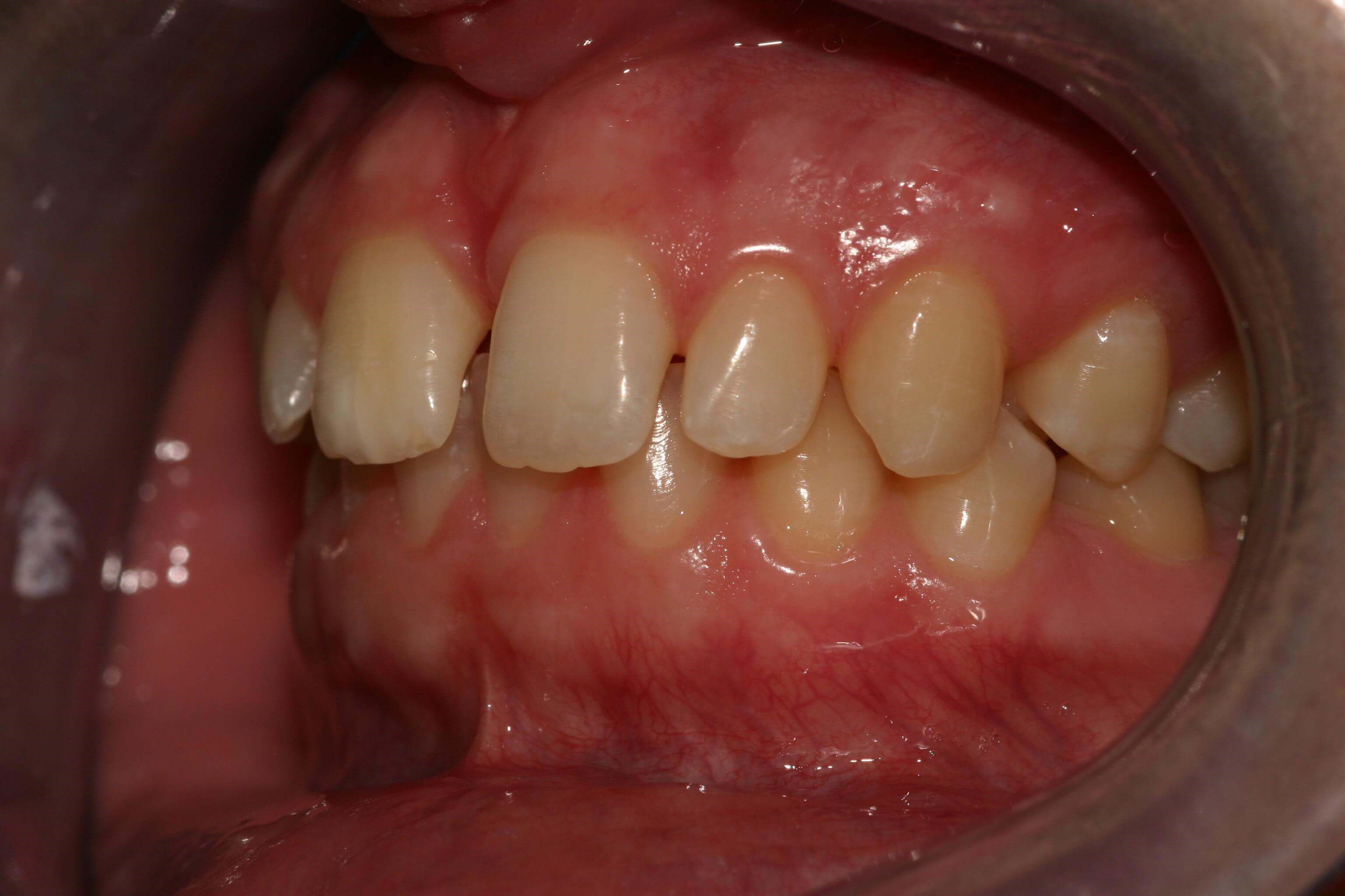
Smile Makeover for Young Woman
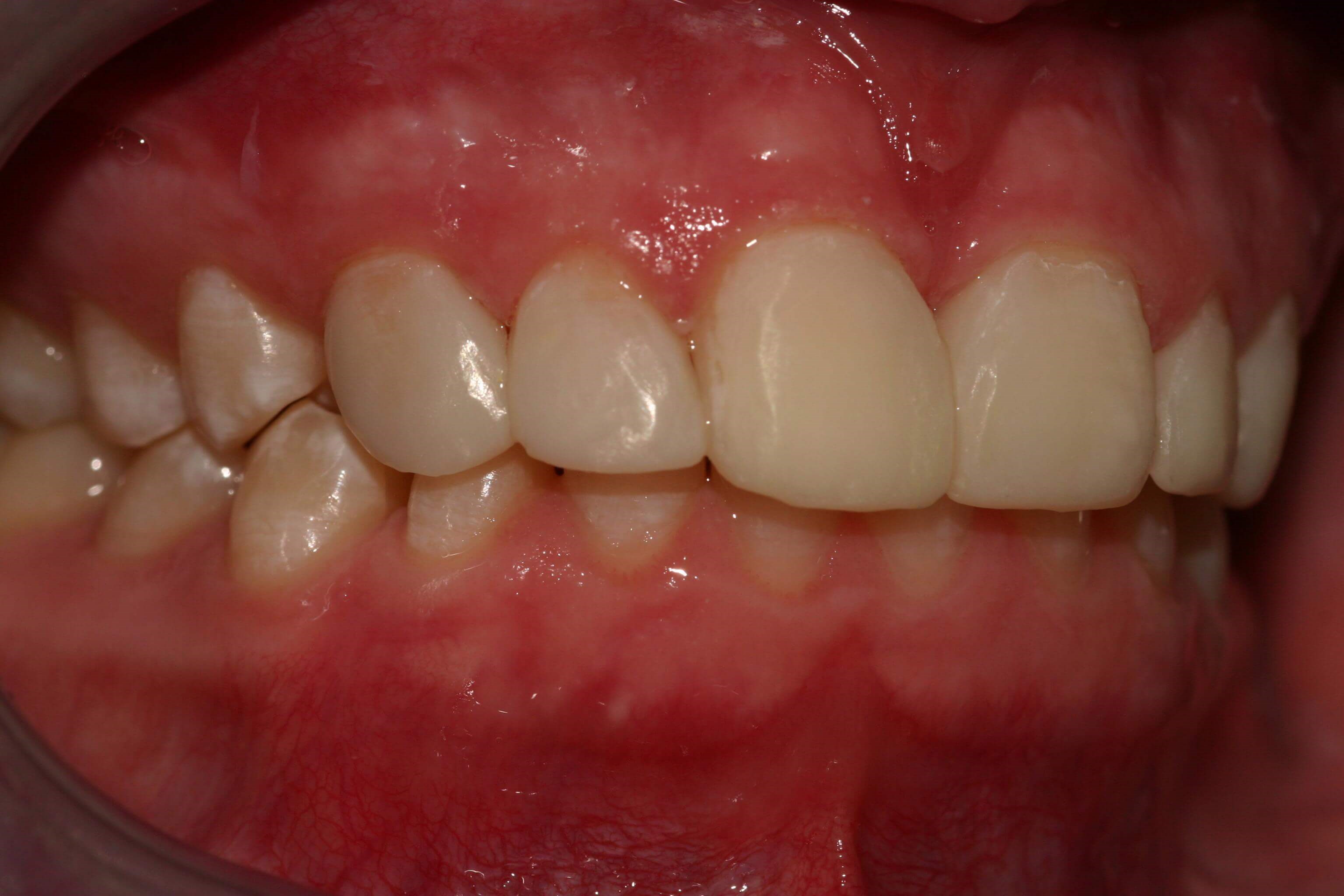
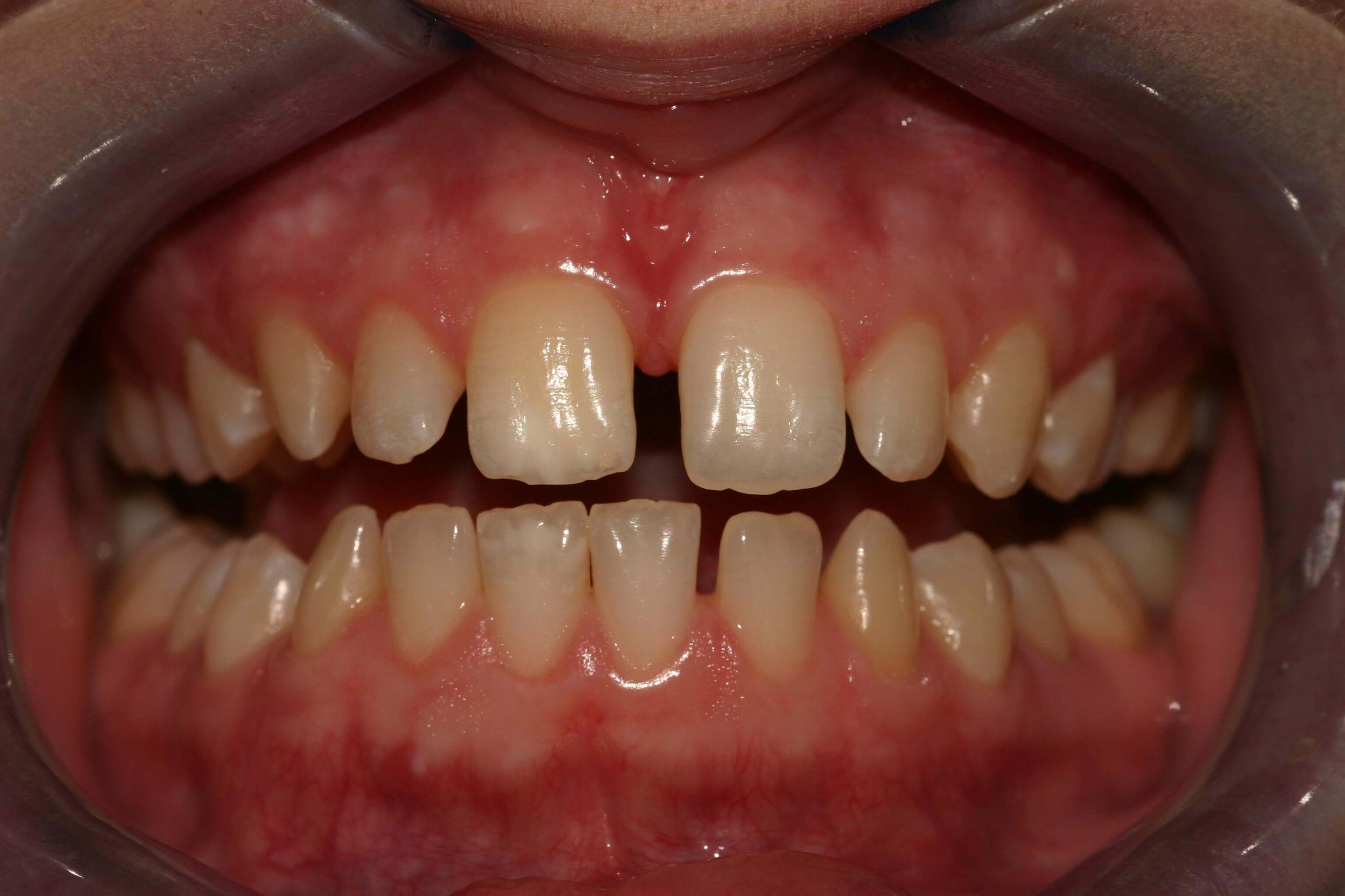
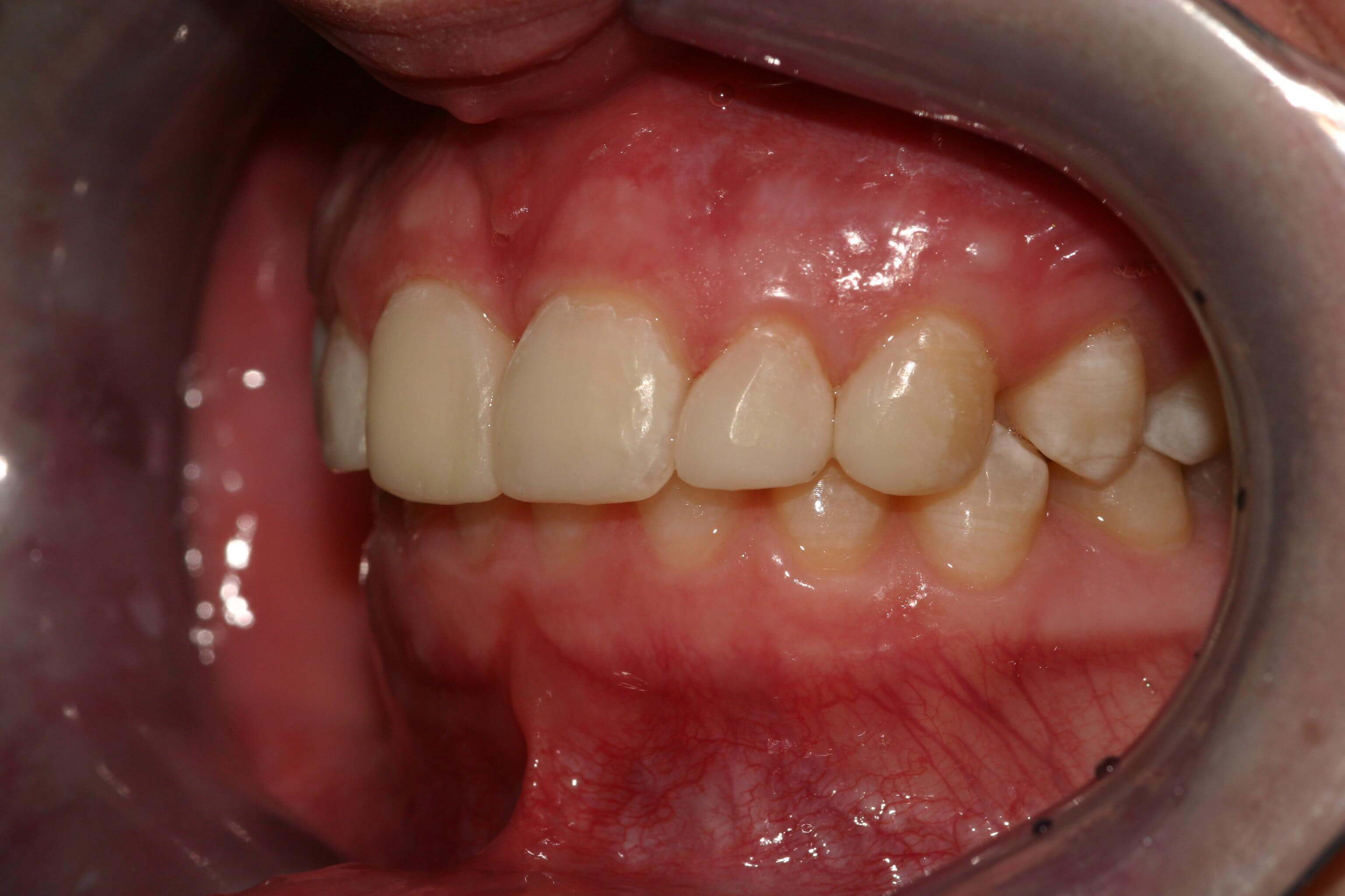
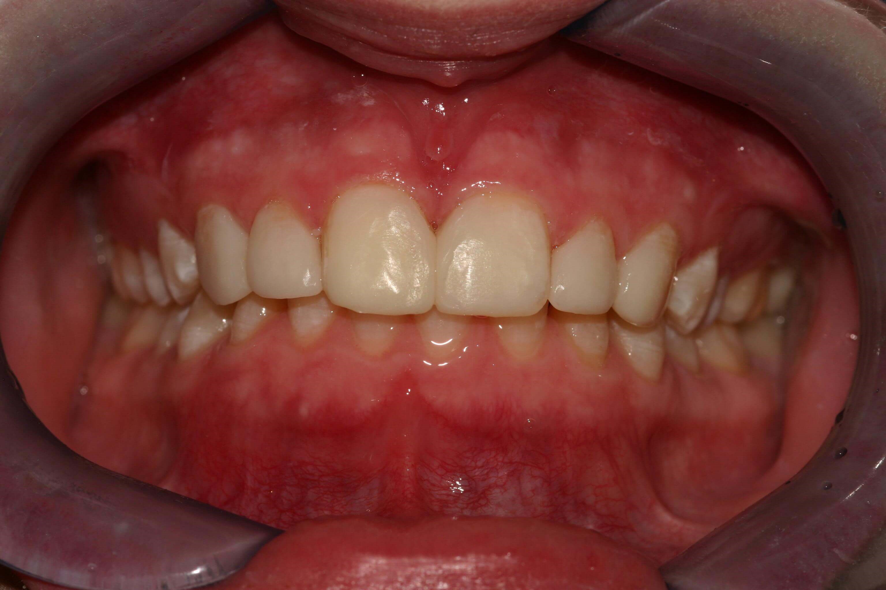
This patient presented with too small of teeth for the space allotted. She wanted a prettier smile and did not want to do porcelain at this time. The treatment plan was to bond 6 teeth and close the spaces, equal the widths and make the teeth more aesthetically pleasning. The bonding was placed chairside with no drilling on the existing enamel and no numbing. The teeth were recountoured by this Traverse City Dentist and finished in one short appointment. The patient was very happy with the result and has been smiling with confidence ever since.
Location
Popular Searches
* All information subject to change. Images may contain models. Individual results are not guaranteed and may vary.

