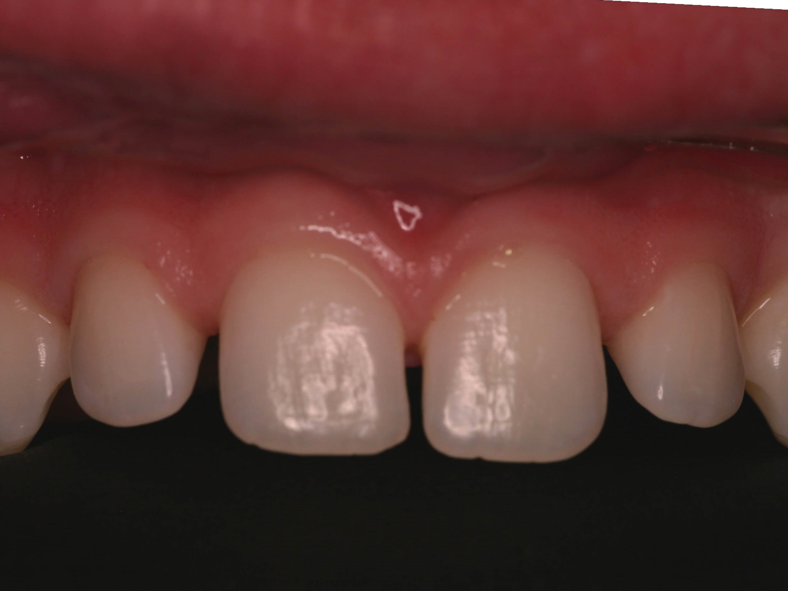
Patient wanted bigger teeth
Procedure Details
Dental Bonding
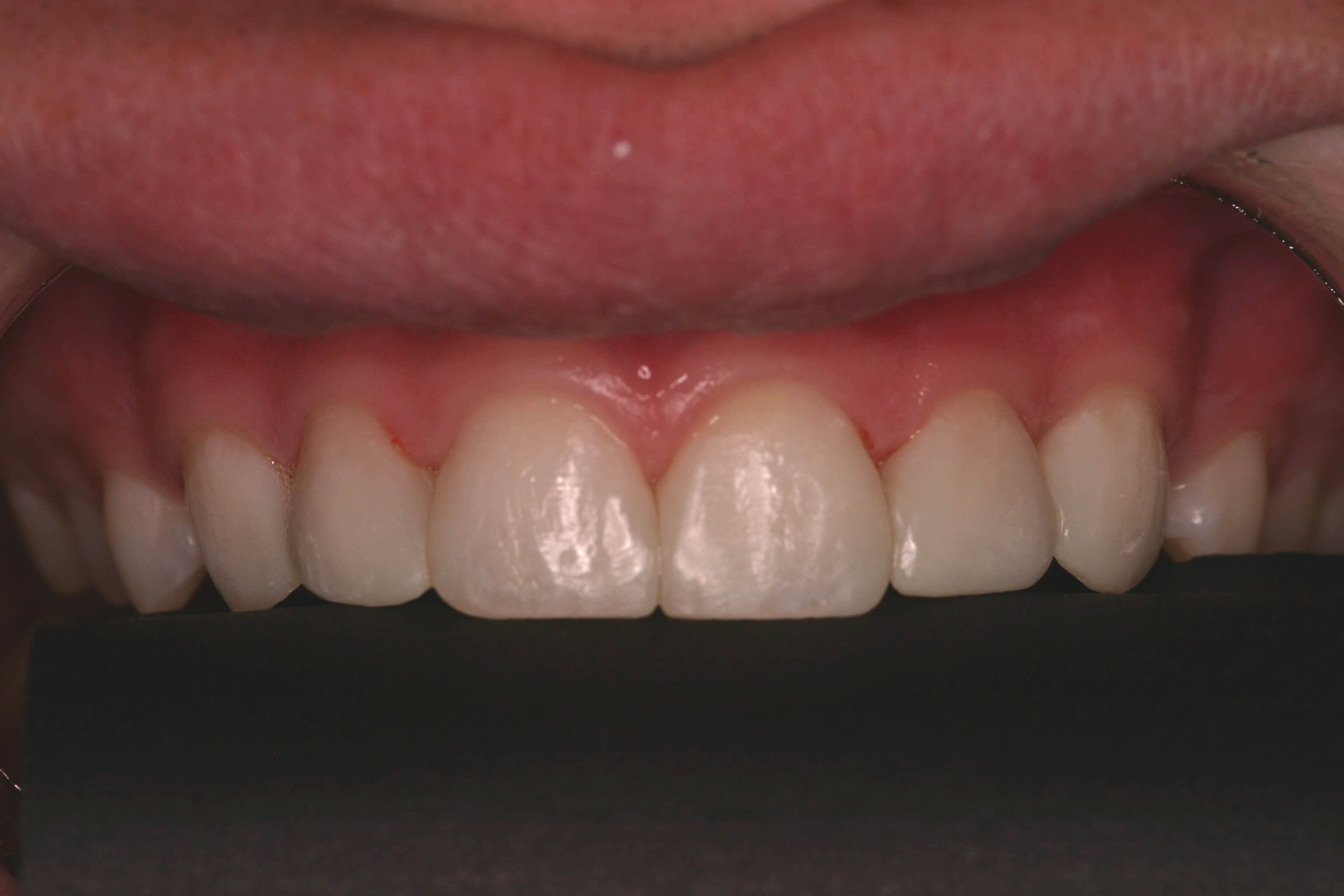
This patient had small teeth with spacing that was deemed undesirable by him. He elected to do chair-side bonding. The procedure is lower cost with a high aesthetic result. The bonding is done typically with no anesthetic (numbing) and no preparation (drilling). The whole procedure is done in one visit over the period of a couple of hours. The outcome as you can see is amazing! It takes a good eye to make the colors come out and the contours to look natural. The patient was very pleased with the outcome and smiles all of the time to show off his handsome new teeth!
Location
Popular Searches
* All information subject to change. Images may contain models. Individual results are not guaranteed and may vary.

